Unidades radiológicas híbridas 2D/3DOrthophos SL 3D
La verdadera unidad de imagen multifuncional
Con Orthophos SL su consultorio está preparado para múltiples situaciones de tratamiento. En el lado 2D, el revolucionario sensor DCS y la tecnología SL satisfacen los requisitos del personal clínico con exigencias muy altas de imágenes panorámicas. En 3D, podrá decidir entre la unidad de volumen de 8 cm x 8 cm o de 11 cm x 10 cm, las cuales ofrecen diversas colimaciones.
En combinación con el software de imagen pionero Sidexis 4, Orthophos SL le da acceso a diversas soluciones de tratamiento innovadoras. Orthophos SL 3D puede equiparse en cualquier momento con un brazo cefalométrico.
Los pacientes agradecen la luz ambiente relajante durante el proceso de captación de imagen. Dispone de más de 30 colores para crear una atmósfera agradable en su sala de rayos X y que se ajuste perfectamente a la imagen de su consultorio.
¿Qué hace que Orthophos SL sea especial?
Más posibilidades para su consultorio sin compromisos
Imágenes DCS 2D revolucionarias para un diagnóstico eficiente
Gracias a la tecnología DCS (Sensor de conversión directa) que se salta la conversión de la luz, mantiene el máximo de información de la imagen, beneficiándose de unas imágenes con una nitidez excelente.
Toda la mandíbula con Sharp Layer
La tecnología Sharp Layer adapta automáticamente la curva panorámica a los rasgos anatómicos individuales del paciente, asegurando que toda la mandíbula está siempre en la imagen.
Más volúmenes para más opciones de tratamiento.
Un campo de visión seleccionable comenzando con un volumen enfocado de 5 cm x 5,5 cm y llegando hasta 11 cm x 10 cm para el análisis de las vías aéreas superiores le permite ofrecer un mayor número de tratamientos en su consultorio.
La ayuda automática para el posicionamiento del paciente, optimizan el flujo de trabajo de su consultorio.
El nuevo EasyPad, el mordedor oclusal patentado, las luces Easy Volume Indicator y la fijación de la cabeza en 3 puntos: nunca ha sido tan fácil posicionar perfectamente a los pacientes de forma rápida y eficiente.
No es solo por mi interés en la tecnología por lo que encuentro que la combinación de tecnología de conversión directa y el proceso reconstructivo Sharp Layer de Orthophos SL son realmente interesantes. Las imágenes precisas resultantes trabajan perfectamente para la interpretación. En combinación con la selección de volumen en 3D, tenemos un socio de diagnóstico universal para nuestro consultorio.
Seguridad en la toma de imágenes 3D con un nivel de dosis de radiación como el de radiografías 2D, ampliando el número de indicaciones en las que utilizarlo.
Con el software de reconstrucción MARS, la visualización de los artefactos metálicos se reduce tanto en las visiones de campo próximo como de campo alejado.
Para determinadas indicaciones, por ejemplo, la visualización de los canales de raíces finas, el modo de alta definición (HD) muestra todos los detalles necesarios con el clic de un botón.
La tecnología DCS convierte los rayos X directamente en señales eléctricas sin pérdida de información debida a la conversión de la luz. Permite obtener imágenes de radiografía panorámicas de elevado contraste con una calidad excepcional.
En cada imagen de rayos X se muestra automáticamente toda la mandíbula con una capa nítida y teniendo en cuenta las características anatómicas individuales del paciente.
Aunque las radiografías 3D son cada vez más demandadas y existen un gran un número creciente de equipos en consultorios dentales, la imagen 2D sigue teniendo su lugar, en gran medida, debido a su radiación. Las mejoras realizadas en la calidad de imagen hace que las opciones disponibles en tecnología 2D están lejos de haberse agotado. Orthophos SL ha revolucionado la imagen 2D con la introducción del Sensor de Conversión Directa, la tecnología Sharp Layer y la SL interactiva. Experimente imágenes panorámicas como nunca antes.
Galería de muestra de imágenes panorámicas 2D
Orthophos SL - Program P1
Orthophos SL - Program P1
Orthophos SL - Program P2
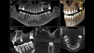
Imagen 3D: el futuro de la tecnología en obtención de imágenes
La tecnología 3D se está estableciendo cada vez más en los consultorios dentales en todo el mundo. Para diagnósticos más precisos y explicaciones del tratamiento, los rayos X en 3D ofrecen varias ventajas. Ya sea para dientes superpuestos, recorridos inesperados de los canales de los nervios, raíces ocultas o anomalías de las articulaciones temporomandibulares, las imágenes en 3D tienen un valor inestimable para un gran número de diagnósticos.
Orthophos SL 3D ofrece una gran variedad de opciones para satisfacer estas necesidades: diferentes tamaños de volumen donde elegir, modos HD/SD/Dosis bajas de radiación y un software inteligente e intuitivo para aprovechar al máximo las imágenes obtenidas y vincularlas directamente al tratamiento.
Galería de muestra de imágenes panorámicas 3D
11 cm x 10 cm implant case
8 cm x 8 cm implant case
5 cm x 5 cm HD 80µm case
5 cm x 5 cm Low Dose volume, 3 µSv, displaced tooth case
Orthophos SL 3D en la práctica
Imagen cefalométrica
Orthophos SL 3D ofrece la posibilidad de instalar un brazo cefalométrico en cualquier momento. Para asegurarse de que se ajusta a su sala de rayos X, el brazo puede montarse en el lado derecho o el lado izquierdo de la unidad.
Programas cefalométricos que cubren todas las necesidades ortodóncicas
Usando un sensor específico, obtiene imágenes laterales y simétricas, así como imágenes del carpo. En casos de dientes desplazados, podría recurrrir a los beneficios de las radiografías en 3D para determinar la localización exacta.
Galería de muestra de imágenes cefalométricas
FAQs
Los requisitos en realidad siguen los del software de procesamiento de imágenes, Sidexis 4. Los detalles se pueden aquí
Sí, Orthophos SL es compatible exclusivamente con Sidexis 4. Pero la migración de datos de Sidexis XG a Sidexis 4 es muy fácil.
Orthophos SL en la práctica
¿Quiere saber qué están haciendo sus colegas con las diferentes características de Orthophos SL y cómo la unidad está abriendo su práctica para nuevas ofertas? Descargue nuestro folleto aquí.
Obtenga más información sobre los sistemas de obtención de imágenes de Dentsply Sirona y solicite información sobre el producto de imagen intraoral o imagen 2D y 3D que más se ajuste a sus necesidades. Gracias por su interés en nuestros productos; estaremos encantados de enviarle la información solicitada.
Obtenga más información sobre los sistemas de imágenes de Dentsply Sirona y solicite información sobre productos en imágenes intraorales o tecnología de imágenes en 2D y 3D. Gracias por su interés en nuestros productos; estaremos encantados de enviarle la información solicitada.