As a member of the successful Orthophos family, this solution provides revolutionary DCS image quality for next-level diagnostics. And thanks to the ceph and 3D expansion options, it’s ready for the future.
This high-end 2D device provides a quality option for practices with a keen understanding of the latest technologies and for those who simply want more. The integrated Direct Conversion Sensor (DCS) redefines the standard of panoramic imaging – delivering high image sharpness. The namesake, Sharp Layer technology, provides autofocused panoramic images even in difficult cases. The Orthophos SL guarantees ease of use through automatic positioning, intuitive operation with the EasyPad and offers the individually adjustable Ambient Light for an exclusive look and feel.
Your Advantages at a Glance
With the Orthophos SL 2D, you’re choosing high-quality 2D images and the ability to upgrade your unit to 3D at any time.
Outstanding images
The unique DCS sensor for high image quality
Subsequent object focusing
The Sharp Layer technology facilitates sharp final images in focus
Optimally positioned images and easy reproducibility
Auto positioning with the patented occlusal bite block and the intuitive EasyPad provide consistent reliability
Comprehensive panoramic and cephalometric programs
For bitewing, sinus or Ceph images, left or right ceph arms are optional and can be retrofitted at any time
Safe and proven patient positioning
With the motorized temple and forehead supports, automatic temple width measurement, light localizers and handles for additional positioning stability
Pleasant atmosphere
The Ambient Light is available in over 30 colors
The Direct Conversion Sensor (DCS) ensures the optimal yield of X-ray radiation. The images are very precise – and it is possible to reduce the radiation dose."
Orthophos SL 2D – Highlights
Gallery of Sample 2D Panoramic Images
Program P1
Program P1
Program P1
Bitewing
Bitewing
Dedicated programs for young patients
The horizontally and vertically reduced children's panoramic program delivers high-definition images at the lowest dosage
The quickshot feature
It reduces the capture time and dosage. This facilitates, for example, working with children in panoramic and ceph images
Patient Positioning & Image Assistant concept
We developed a 10-point concept for easy patient positioning and X-ray imaging. Our concept is primarily about two things: high image quality and comfort for the patient and the assistant. This concept supports and provides the tools needed to ensure high-quality images for treatment analysis and focuses on ergonomics and comfort for the patient and assistant.
The patented bite block technology, for example, automatically establishes the correct inclination of the patient's head, positioning the patient in the occlusal plane, partnering with the 3 point head fixation and firm handles to ensure stable positioning-limiting unnecessary correction scans.
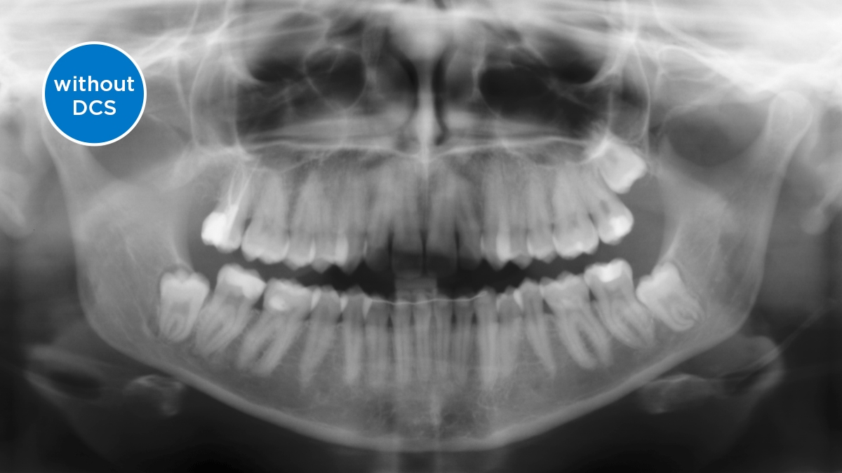
The Direct Conversion Sensor (DCS) has redefined the standard of panoramic imaging. X-rays are converted directly into electrical signals –unlike conventional systems, there is no signal loss due to light conversion. This means an improved image information output for you. The result is images with a high level of sharpness – even at a low dose.
DCS: a comparison
The image shows an X-ray image with and without DCS technology. Move the control over the image and see for yourself the difference the DCS sensor makes to the image quality.
Autofocus – Excellent Images, without any manual steps
The right focus is crucial for excellent panoramic radiographs. With the autofocus function you will automatically receive an image with the best possible sharpness in focus. Dentsply Sirona Imaging devices take several thousand individual images in one cycle and automatically identify the areas where the jaw is optimally positioned. Without any additional manual steps, these images are then displayed in a final sharp image.
Without Autofocus: Only some parts of the image are in focus, while other areas are blurred.
With Autofocus: The system detects the relevant areas from several thousand individual images in one cycle and automatically identifies the areas where the jaw is optimally positioned.
The result: sharp images.
Cephalometric Imaging
Orthophos SL 2D offers the capability to install a cephalometric arm at any time. And to be sure it fits in your x-ray room, the arm can be mounted either on the right side or left side of the unit.
Ceph programs that cover all orthodontic needs
Using a dedicated sensor, you get lateral and symmetrical PA and AP, as well as carpus images. For displaced teeth, you can also use 3D x-rays to determine their exact location.
Dentsply Sirona 2D units work exclusively with Sidexis 4. Nevertheless data migration from Sidexis XG to Sidexis 4 is very easy. Sidexis 4 allows for the full digital experience with the latest tools.
The Orthophos XG 3D ready and the Orthophos SL 2D allow a 3D upgrade. The other models (Orthophos XG 3 and Orthophos XG 5) do not offer this option.
Technical Data
Performance features
Orthophos SL 2D
Orthophos S 2D
Orthophos E
X-ray generator
60 - 90 kV, 3-16mA
60 - 90 kV, 3-16mA
60 - 90 kV, 3-16mA
Panoramic exposure time
P1: max 14,2 s
P1 Quickshot: max 9,1 s
P1: max 14,2 s
P1 Quickshot: max 9,1 s
P1: max 14,2 s
Radiation time Ceph
Standard 9,4 s
Quickshot 4,7 s
Standard 9,4 s
Quickshot 4,7 s
Standard 9,4 s
User interface
EasyPad
EasyPad
MultiPad
Patient positioning
automatic (occlusal bite block)
automatic (occlusal bite block)
manual
Panorama technology
DCS
CsI Plus
CsI
Autofocus
yes
yes
-
Ceph arm (optional)
left or right
left or right
left
Ceph unit with 2 sensors
yes
yes
optional
Quickshot
yes
yes
-
Fields of View
upgradeable
upgradeable
-
3D Low Dose
upgradeable
upgradeable
-
HD mode
upgradeable
upgradeable
-
Base
optional
optional
optional
Wheelchair accessible
yes
yes
yes
Remote control
optional
optional
optional
Ambient Light
yes (backlight)
-
-
The Extraoral X-Ray Family
Find out more about our 2D and 2D/3D hybrid product range and download the extraoral X-ray family brochure here.
The versatile 2D/3D hybrid unit with a big FOV and high image quality for practices with a wide treatment spectrum. Axeos convinces not only with its high-caliber performance, but also with its focus on comfort and design as well.
The high-end 2D/3D hybrid unit features revolutionary technology and patented positioning solutions. An optional ceph arm provides additional benefits, adding to the already broad range of offerings.
This All-round 2D/3D hybrid unit offers a full range of capabilities to support all of the 2D and 3D tasks in your practice. Thanks to its flexible volume sizes and adjustable dose options, you have a great partner to support your workflows.