Pianificazione dell'impianto per l'apparecchio radiografico CBCT Dentsply Sirona
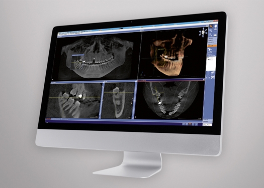
Anche se stai muovendo i primi passi nel campo dell'implantologia o se ti capita di rado di inserire degli impianti, l'implantologia integrata ti guiderà attraverso il processo di pianificazione dell'impianto in maniera efficiente e nell'arco di qualche minuto, in assoluta sicurezza. Grazie alla visualizzazione a colori del canale del nervo e alla rappresentazione delle ossa in tutte le dimensioni, è possibile adattare l'impianto all'anatomia del paziente in maniera ottimale.
Questo garantisce un elevato livello di affidabilità poiché lo stress viene drasticamente ridotto grazie a un preciso processo di pianificazione e implementazione. La possibilità di osservare direttamente le condizioni chirurgiche rende la procedura d'impianto minimamente invasiva oltre che più sicura. Inoltre, si risparmia tempo durante la consulenza con il paziente poiché i pazienti comprendono più facilmente la visualizzazione 3D.
Vantaggi in sintesi
Garantisci la qualità e utilizza il trattamento completo nel tuo studio.
Pianificazione semplice e precisa
Anche chi sta imparando può posizionare correttamente un impianto con qualche clic.
Chirurgia in tutta sicurezza
Usando guide chirurgiche di livello mondiale come CEREC Guide 2, per un flusso di lavoro completo alla poltrona, o una guida SICAT
Maggiore consenso al trattamento
Consenti ai tuoi pazienti di vedere la tua diagnosi e la tua proposta terapeutica
Intervento di chirurgia implantare in tre sessioni
Insieme a CEREC, è possibile trattare il paziente in solo tre sessioni
I processi guidati sono il futuro dell'implantologia. Assicurano una maggiore precisione e una migliore sicurezza, specialmente in situazioni difficili."
Passo dopo passo: implantologia integrata nel tuo studio
Prima di iniziare: Scansione
È fondamentale per avere una visione chiara della situazione da tutti i punti di vista e per eseguire una diagnosi completamente affidabile. I dati sono visualizzati con il software intuitivo e pluripremiato Sidexis 4, per la massima efficienza di riproduzione delle immagini.
Con l'unità di scansione CEREC è possibile eseguire una pianificazione del trattamento a tutto tondo: lo spazio (antagonisti compresi) può essere registrato in due minuti. Questa cosiddetta implantologia integrata combina la pianificazione della protesi con le informazioni sul tessuto molle e la struttura ossea. Tutto ciò di cui hai bisogno a portata di mano.
1. Eseguire una diagnosi
Per una diagnosi affidabile, è importante essere in grado di esaminare accuratamente la situazione da tutte le prospettive. Per ottenere le informazioni giuste, è prima necessario disporre dell'attrezzatura giusta. Axeos, Orthophos SL 3D o Orthophos S 3D forniscono importanti dati radiografici 3D necessari per valutare la situazione clinica.
2. Unire i dati con CEREC
Se si ha nel proprio studio CEREC Omnicam o CEREC Primescan, è possibile importare l'impronta digitale e le proposte protesiche in SICAT Implant 2.0. La sovrapposizione garantisce che l'impianto possa essere pianificato in modo ottimale in base all'asse del restauro.
3. Eseguire la mappatura del nervo
SICAT Implant 2.0 offre la possibilità di contrassegnare il canale nervoso in modo intuitivo e con pochi clic: è sufficiente fare clic sul canale nervoso e continuare con i singoli clic fino a quando non è stato contrassegnato con successo l'intero nervo. Le correzioni (spostamento, eliminazione, espansione, ecc.) Sono semplici e possibili in qualsiasi momento.
4. Selezionare l'impianto
Oltre agli impianti Dentsply Sirona (Ankylos, Astra Tech, Xive e MIS), SICAT Implant 2.0 conserva uno dei database più completi di impianti e abutment dei principali produttori. Vengono effettuati aggiornamenti regolari in collaborazione con numerosi fornitori per mantenere aggiornata la selezione dei sistemi implantari.
5. Posizionare l'impianto
Con pochi clic, l'impianto è posizionato in modo ottimale nel software di pianificazione in correlazione all'osso. Grazie alla rotazione di 360° attorno all'impianto e all'avvertimento automatico di collisione in relazione al canale nervoso contrassegnato e ad altri impianti pianificati, è possibile ottenere rapidamente un posizionamento ottimale. Con l'aiuto della proposta protesica, l'asse dell'impianto può essere ottimizzato.
6. Scrivere il rapporto
Con il report di pianificazione disponibile, è possibile documentare i risultati della pianificazione dell'impianto con un solo clic e stamparli per l'intervento chirurgico.
7. Ordinare una guida chirurgica
A seconda delle esigenze, esistono diversi modi per creare una guida chirurgica a supporto del posizionamento dell'impianto pianificato. È possibile ordinare il modello da SICAT direttamente nel software SICAT Implant, inviarlo a un laboratorio locale o creare una guida CEREC con il software CEREC e fresarlo direttamente con l'unità di molaggio CEREC nel proprio studio. Ciò ti consente di rimanere flessibile e decidere quale tipo di flusso di lavoro preferisci.
SICAT Implant Tutorial Videos
Pianificazione di impianti, monconi e guaine
Regolazione dell'area panoramica e delle misurazioni
Importazione e registrazione di impronte ottiche
Marcatura e regolazione dei nervi mandibolari
Gestione dei piani di trattamento
Imaging Solutions for Implantology
Learn more about Dentsply Sirona Imaging Solutions for Implantology
Dentsply Sirona ha sviluppato una gamma completa di soluzioni software per migliorare la diagnostica e potenziare le capacità di pianificazione del trattamento.