Revolutionary technology, patented positioning solutions and extremely versatile 2D/3D hybrid unit features – all this comes together to create a unique imaging solution. And the optional ceph arm adds even more benefits.
The high-end 2D/3D high-end device for practices with a keen understanding of the latest technologies and for those who simply want more. The integrated Direct Conversion Sensor (DCS) completely redefines the standard of panoramic imaging – delivering unique sharpness. The namesake, Sharp Layer technology, provides autofocused panoramic images, even in difficult cases. The Orthophos SL guarantees maximum ease of use through automatic positioning, intuitive operation with the EasyPad and offers an individually adjustable ambient light for an exclusive look and feel.
15 Use Cases around the World
No matter where they live, our authors have one thing in common: they use Orthophos SL for unclear diagnoses and complex cases. Find out more about the use of Orthophos SL for 3D imaging.
With the Orthophos SL 3D, your practice on the 2D and 3D side is perfectly prepared for a wide variety of treatment situations.
Outstanding images
The unique DCS sensor for the best image quality
Comprehensive panoramic and cephalometric programs
For bitewing, sinus or ceph images. The ceph arm on the left or right is optional can be retrofitted at any time.
Reliable sharp images
The Sharp Layer technology offers the possibility of displaying in reliable sharpness on different levels
Safe and proven patient positioning
With motorized temple and forehead support, automatic temple width measurement, light localizers and sturdy handles
3D according to your needs
With the Low Dose and HD function, you can capture 3D images in the dose range of 2D X-ray and HD images with up to 80 μm resolution
Flexible volume
From ø 5 cm x 5.5 cm to ø 11 cm x 10 cm
Optimally reproducibility images
The auto positioning with the occlusal bite block and the intuitive EasyPad provide stability and reproducible image quality
Pleasant atmosphere
The ambient light is available in over 30 colors
Flexible volumes for a variety of indications
Coordinated volume sizes for your needs from Ø 5 x 5.5 cm to Ø 11 x 10 cm
It is not only because of my interest in technology that I find the combination of direct conversion technology and the reconstructive sharp layer procedure in the Orthophos SL to be truly exciting. The resulting precise images work perfectly for interpretation. In combination with the volume selection in 3D, we have a universally applicable diagnostic partner for our practice."
5 cm x 5.5 cm Low Dose volume, 3 μSv, displaced tooth case
MARS – Metal Artifact Reduction Software
Metal artifacts are a challenge in 3D X-ray imaging. Radiopaque objects create shadowing and streaking effects during the three-dimensional reconstruction and as such interfere with the findings. MARS automatically reduces metal artifacts and facilitates the diagnosis.
With Dentsply Sirona Imaging Solutions, we’re not just designing quality equipment, but solutions that give our customers the tools and support needed to provide the best possible care to their patients. It gives you efficient and intuitive access to your X-ray images, supports your treatment and enables you and your practice to offer a broader, safer range of services.
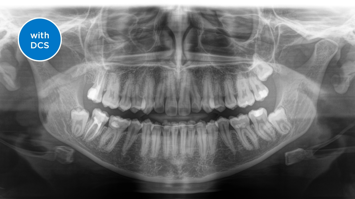
The Direct Conversion Sensor (DCS) has redefined the standard of panoramic imaging. X-rays are converted directly into electrical signals – unlike conventional systems, there is no signal loss due to light conversion. This means an improved image information output for you. The result is images with a uniquely high level of sharpness – even at an extremely low dose.
DCS: a Comparison
The image shows X-ray images with and without DCS technology. Move the control over the image and see for yourself the difference the DCS sensor makes to the image quality.
Autofocus – Excellent Images, without any manual steps
The right focus is crucial for excellent panoramic radiographs. With the autofocus function you will automatically receive an image with the best possible sharpness in focus. Dentsply Sirona Imaging devices take several thousand individual images in one cycle and automatically identify the areas where the jaw is optimally positioned. Without any additional manual steps, these images are then displayed in a final sharp image.
Without Autofocus: Only some parts of the image are in focus, while other areas are blurred.
With Autofocus: The system detects the relevant areas from several thousand individual images in one cycle and automatically identifies the areas where the jaw is optimally positioned.
The result: sharp images.
Gallery of Sample 2D Panoramic Images
Program P1
Program P1
Program P1
Bitewing
Bitewing
Dedicated programs for young patients.
The horizontally and vertically reduced children's panorama program delivers high-definition images at the lowest dosage.
Quickshot function
The quickshot function reduces the capture time and dosage. This facilitates, for example, working with children in panoramic and ceph images.
We developed a 10-point concept for easy patient positioning and X-ray imaging. Our concept is primarily about two things: high image quality and comfort for the patient and the assistant. This concept supports and provides the tools needed to ensure high-quality images for treatment analysis and focuses on ergonomics and comfort for the patient and assistant. The patented bite block technology, for example, automatically establishes the correct inclination of the patient's head, positioning the patient in the occlusal plane, partnering with the 3 point head fixation and firm handles to ensure stable positioning-limiting unnecessary correction scans.
With a selection of over 30 colors, the Ambient Light creates a pleasant atmosphere for your patient and blends in perfectly with your modern practice look.
Cephalometric Imaging
Orthophos SL 3D offers the capability to install a cephalometric arm at any time. And to be sure it fits in your x-ray room, the arm can be mounted either on the right side or left side of the unit.
Ceph programs that cover all orthodontic needs
Using a dedicated sensor, you get lateral and symmetrical p.a. or a.p. as well as carpus images. For displaced teeth, you can also use 3D x-rays to determine their exact location.
Sample Gallery of Cephalometric Images
FAQ
The requirements actually follow those for the image processing software, Sidexis 4. For more details please see Sidexis 4 system requirements.
Dentsply Sirona 3D units work exclusively with Sidexis 4. Nevertheless data migration from Sidexis XG to Sidexis 4 is very easy. Sidexis 4 allows for the full digital experience with the latest tools.Dentsply Sirona 3D units work exclusively with Sidexis 4. Nevertheless data migration from Sidexis XG to Sidexis 4 is very easy. Sidexis 4 allows for the full digital experience with the latest tools.
Orthophos SL 2D and the Orthophos S 2D allow a 3D upgrade. Axeos is a dedicated hybrid unit. The Orthophos E does not offer this option.
The Extraoral X-Ray Family
Find out more about our 2D and 2D/3D hybrid product range and download the extraoral X-ray family brochure here.