Un diagnostic sigur este cel mai important aspect la începutul oricărui tratament. Acesta trebuie să fie precis, dar și rapid. Pentru a facilita acest pas important, folosim tehnologie de ultimă generație pentru a vă extinde spectrul - de la imaginea panoramică până la cel mai mic detaliu, pentru calitate extraordinară a imaginii la cea mai redusă doză posibilă și vizualizare optimizată. Beneficiați astfel de siguranța analizei imaginii și a diagnosticului final, atât în format 2D, cât și 3D.
Volume/clic: În funcție de necesitățile individuale, de la Ø 5 cm x 5,5 cm la Ø 17 cm x 13 cm
Mod înaltă definiție
În modul HD, se captează până la 1.400 imagini individuale dintr-o singură rotație, asigurând o radiografie de înaltă rezoluție și cu zgomot redus în cadrul volumului selectat.
MARS
MARS detectează și reduce automat artefactele metalice din imaginile 3D, cu ajutorul unor algoritmi inovator
Doză scăzută inteligentă
Modul Low Dose - la o doză semnificativ redusă - cartografiază structurile dense, cum ar fi osul, și oferă o bază pentru analiza tratamentului dumneavoastră într-o serie de situații clinice diferite.
4 volume, gamă variată de indicații
Volume coordonate pentru necesitățile dumneavoastră, de la Ø 5 x 5,5 cm la Ø 17 x 13 cm
Exemple de radiografii 3D
Volum HD Ø 5 cm x 5,5 cm
Volum HD Ø 17 x 13 cm
Volum HD Ø 8 x 8 cm la Doză scăzută
MARS – Software de reducere a artefactelor metalice
Artefactele metalice sunt deseori problematice în imagistica radiologică 3D. Obiectele radioopace creează efecte de umbră și dâre în cursul reconstrucției tridimensionale și, prin urmare, interferează cu investigațiile. MARS reduce automat artefactele metalice și facilitează diagnosticarea.
Am testat software-ul MARS și ne place. Vedem mult mai multe detalii și nu ne-am putea imagina activitatea fără MARS.
Imagistica radiologică medicală se confruntă cu un conflict fundamental de interese. Pe de o parte, pentru un diagnostic fiabil este esențial să se obțină o calitate maximă a imaginii, dar, pe de altă parte, doza de radiații ar trebui să fie cât mai scăzută posibil pentru pacient. Dentsply Sirona și-a asumat angajamentul de a oferi produse care combină o calitate excelentă a imaginii cu cea mai mică doză posibilă. Atunci când dezvoltăm produsele, respectăm principiul ALARA („cât mai scăzută posibil în mod rezonabil”) valabil la nivel internațional.
Doza scăzută inteligentă
Datorită modului optimizat de Doză scăzută cu filtru dedicat, este posibilă obținerea de imagini ale structurilor dense, cum ar fi oasele, la o doză foarte redusă. Astfel, modul Doză scăzută inteligentă reprezintă o opțiune atractivă și eficientă pentru multe situații clinice. Atât în ortodonție, cât și în implantologie, cu soluțiile Dentsply Sirona veți găsi setarea optimă pentru fiecare caz.
In funcție de indicații
Doza scăzută 3D este potrivită pentru o varietate de situații clinice.
Filtru dedicat
Spre deosebire de metodele convenționale cu doză scăzută, Doza scăzută inteligentă de la Dentsply Sirona nu numai că reduce mA, dar și aplică un filtru dedicat din cupru, permițând o bună vizibilitate a structurilor dense (de exemplu, oasele) chiar și la doză scăzută.
Intuitiv
Cu Soluțiile de imagistică Dentsply Sirona aveți garanția că obțineți informații 3D cu dozele recomandate pentru o radiografie 2D, cu un singur clic.
Exemple de indicații 3D la doză scăzută
Indicație: Determinarea poziției dinților. Volum CBCT: Ø 8 cm x 8 cm la 8 μSv
Indicație: Stabilirea poziției dentare anormale a caninilor. Volum CBCT: Ø 5 cm x 5,5 cm la 3 μSv
Indicație: Obstrucția căilor aeriene superioare/apnee de somn. Volum CBCT: Ø 11 x 10 cm la 20 μSv
Imagistică 3D
Axeos
Unitatea hibridă versatilă 2D / 3D cu un FOV mare și o calitate ridicată a imaginii pentru cabinetele cu un spectru larg de tratament.Axeos convinge nu numai prin performanțele sale de înalt calibru, ci și prin accentul pus pe confort și design.
Cel mai versatil aparat hibrid de radiologie 2D/3D, prevăzut cu o tehnologie revoluționară și soluții de poziționare brevetate. Un braț cefalometric opțional asigură avantaje suplimentare, care se adaugă gamei largi de funcții disponibile.
Senzor de conversie directă (Direct Conversion Sensor - DCS)
Tehnologia DCS convertește razele X direct în semnale electrice, fără pierderi de informații. Senzorul DCS asigură radiografii panoramice de claritate superioară, contrast ridicat și calitate excepțională.
Auto-focalizare
Funcţia de auto-focalizare oferă imagini panoramice clare, auto-focalizate, chiar și în cazuri dificile din punct de vedere anatomic. Acestea se obțin prin simpla apăsarea a unui buton și fără pași intermediari suplimentari.
Tehnologia Sharp Layer
Maxilarul se poziționează automat în planul focal datorită adaptării individuale și automate la anatomia pacientului. Se generează ulterior o imagine panoramică clară pe baza miilor de proiecții individuale.
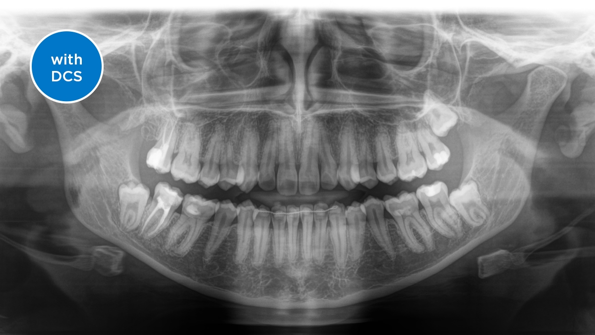
Senzor de conversie directă (Direct Conversion Sensor - DCS): Detalii ale unei imagini clare
Senzorul de conversie directă (DCS) a revoluționat standardele de imagistică panoramică. Razele X sunt convertite direct în semnale electrice. Astfel, nu se înregistrează pierderi de semnal din cauza conversiei luminii, așa cum se întâmplă în cazul sistemelor convenționale. Rezultatul: imagini cu un nivel extrem de ridicat de claritate și contrast – chiar și la o doză foarte scăzută. Pentru diagnostice clare și tratamente țintite.
Imaginile arată radiografii cu și fără tehnologia DCS. Analizați imaginile și observați plusul pe care senzorul DCS îl aduce calității imaginii.
Autofocus – Cele mai bune imagini în mod automat
Pentru a obține un nivel ridicat de claritate, focalizarea adecvată este esențială. Maxilarul trebuie să se afle poziționat potrivit în dispozitiv. Pentru aceasta, Orthophos SL 2D creează câteva mii de imagini individuale într-o singură rotație și recunoaște automat zonele în care maxilarul este poziționat optim. Acestea sunt afișate într-o imagine de ansamblu - fără niciun pas manual intermediar.
Fără focalizare automată: doar unele părți ale imaginii sunt focalizate, în timp ce alte zone sunt neclare.
Cu Autofocus: Sistemul detectează zonele relevante din câteva mii de imagini individuale într-un singur ciclu și identifică automat zonele în care maxilarul este poziționat optim.
Rezultatul: imagini clare.
Portofoliul de aparate de radiologie 2D Dentsply Sirona
Alegeți dintre cele 3 modele diferite, de la aparatul digital de bază, la cel de imagistică 2D de înaltă clasă
Membru al gamei de succes Orthophos, cu o calitate revoluționară a imaginii datorită DCS, pentru diagnosticare eficientă. Face față provocărilor viitorului grație opțiunilor de echipare cu braț cefalometric (ceph) și upgradare la 3D.
Unitate radiologică de înaltă performanță, cu o gamă cuprinzătoare de funcții pentru toate sarcinile zilnice din practică. Captează imagini clare, datorită senzorului CsI cu funcție de autofocus, chiar și în cazuri dificile din punct de vedere anatomic.
Orthophos E
Acest aparat de radiologie tip 2D oferă o intrare lină în lumea imaginilor digitale și, cu brațul opțional de cefalometrie, devine un partener de încredere chiar și în ortodonție.
Gama de produse de imagistică intra-orală
Indiferent că vă dotați cabinetul cu tehnologie digitală sau actualizați un cabinet deja complet digital, portofoliul de produse intra-orale de la Dentsply Sirona vă oferă soluția potrivită pentru fluxurile dumneavoastră de lucru și necesitățile specifice.
Software-ul de imagistică potrivit facilitează conectarea la toate dispozitivele hardware, permițând în același timp mobilitatea în cadrul cabinetului dumneavoastră.
Aflați mai multe despre sistemele de imagistică de la Dentsply Sirona și solicitați informații referitoare la produsele de imagistică intra-orală, software sau imagistică 2D și 3D.