A reliable diagnosis is the most important thing at the beginning of any treatment. It should be precise, yet quick. To facilitate this, we use state-of-the-art technology to expand your spectrum - from the overall picture down to the smallest detail, for outstanding image quality at the lowest dose achievable and optimized visualization. This gives you more reliability in your image analysis and the final diagnosis, in both 2D and 3D.
Volumes per click: According to individual needs from Ø 5 cm x 5.5 cm to Ø 17 cm x 13 cm
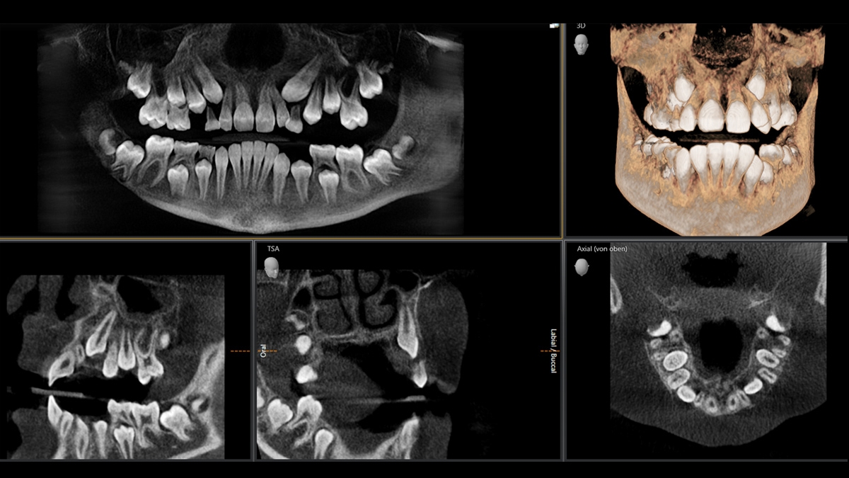
High Definition mode
In HD mode, up to 1.400 single images are captured per circulation ensuring a high-resolution, low-noise X-ray within the selected volume.
MARS
MARS automatically detects and reduces metal artifacts in 3D images using innovative algorithms
Intelligent Low Dose
The Low Dose mode - at a greatly reduced dose - maps dense structures and provides support for your treatment analysis in a number of different clinical situations.
4 volumes, wide range of indications
Coordinated volume sizes for your needs from Ø 5 x 5.5 cm to Ø 17 x 13 cm
Exemplary 3D Images
Volume Ø 5 cm x 5.5 cm HD
Volume Ø 17 x 13 cm HD
Volume Ø 8 x 8 cm Low Dose
MARS – Metal Artifact Reduction Software
Metal artifacts are a challenge in 3D X-ray imaging. Radiopaque objects create shadowing and streaking effects during the three-dimensional reconstruction and as such interfere with the findings. MARS automatically reduces metal artifacts and facilitates the diagnosis.
We have tested MARS and we love it. We see so much more that we couldn't imagine not using MARS.
Medical X-ray imaging faces a fundamental conflict of interests. On the one hand, for a reliable diagnosis it is essential to achieve maximum image quality, yet on the other hand the radiation dosage should be as low as possible for the patient. We at Dentsply Sirona are dedicated to offering products that combine excellent image quality with the lowest possible dosage. When developing our products, we observe the internationally valid ALARA principle ("as low as reasonable achievable").
Intelligent Low Dose
Thanks to the optimized Low Dose mode with a dedicated filter, the imaging of dense structures, such as bones, is possible at a greatly reduced dose. This makes Intelligent Low Dose an attractive and efficient option for many clinical situations. Whether in orthodontics or implantology - with Dentsply Sirona solutions you will find the optimum setting for every case.
Indication based
3D Low Dose is suitable for a variety of clinical situations.
Dedicated filter
In contrast to conventional low dose approaches, Dentsply Sirona Intelligent Low Dose not only lowers the mA but also applies a dedicated copper filter. This enables good visibility of dense structures (e.g. bone) despite the low dose.
Intuitive
With Dentsply Sirona Imaging Solutions you can be sure to obtain 3D information in the dose range of a 2D X-ray with just a single click.
3D Low Dose Indication Examples
Indication: Determining the position of teeth. CBCT Volume: Ø 8 cm x 8 cm at 8 μSv
Indication: Locating displaced canine teeth. CBCT Volume: Ø 5 cm x 5,5 cm at 3 μSv
Indication: Obstruction of the upper airways/sleep apnea. CBCT volume: Ø 11 x 10 cm at 20 µSv
The versatile 2D/3D hybrid unit with a big FOV and high image quality for practices with a wide treatment spectrum. Axeos convinces not only with its high-caliber performance, but also with its focus on comfort and design as well.
The high-end 2D/3D hybrid unit features revolutionary technology and patented positioning solutions. An optional ceph arm provides additional benefits, adding to the already broad range of offerings.
This All-round 2D/3D hybrid unit offers a full range of capabilities to support all of the 2D and 3D tasks in your practice. Thanks to its flexible volume sizes and adjustable dose options, you have a great partner to support your workflows.
DCS converts X-rays directly into electrical signals, with no information loss. The DCS sensor creates razor-sharp, high-contrast panoramic X-ray images of exceptional quality.
Autofocus
The autofocus function delivers sharp, autofocused panoramic images even in anatomically difficult cases. This is all achieved with just the touch of a button and without additional intermediate steps.
Sharp Layer Technology
The jaw automatically lies in the sharp plane due to the individual and automatic adjustment to the patient's anatomy. A sharp panoramic image is then created from thousands of individual projections.
Direct Conversion Sensor (DCS): Sharp Image Details
The Direct Conversion Sensor (DCS) has revolutionized the standard of panoramic imaging. X-rays are directly converted into electrical signals. Thus, there is no signal loss due to light conversion as with conventional systems. The result: images with an extremely high and high-contrast level of sharpness - even at a very low dose. For clear diagnoses and even more targeted treatment.
The image shows an X-ray image with and without DCS technology. Move the control over the image and see for yourself the difference the DCS sensor makes to the image quality.
Autofocus – Excellent Images, without any manual steps
The right focus is crucial for excellent panoramic radiographs. With the autofocus function you will automatically receive an image with the best possible sharpness in focus. Dentsply Sirona Imaging devices take several thousand individual images in one cycle and automatically identify the areas where the jaw is optimally positioned. Without any additional manual steps, these images are then displayed in a final sharp image.
Without Autofocus: Only some parts of the image are in focus, while other areas are blurred.
With Autofocus: The system detects the relevant areas from several thousand individual images in one cycle and automatically identifies the areas where the jaw is optimally positioned.
A member of the successful Orthophos family, with revolutionary DCS image quality for next level diagnostics. Future proof due to ceph and 3D upgrade options.
The All-round X-ray unit with a comprehensive range of capabilities for all daily tasks in the practice. It ensures sharp images thanks to the CsI Plus sensor with autofocus function, even in anatomically difficult cases.
This solid 2D X-ray unit provides a smooth entrance into the world of digital imaging and with its optional left ceph arm, it also makes for a reliable partner in orthodontics.
Whether you are introducing digital technology to your practice or updating an already fully digital practice, Dentsply Sirona's intraoral product portfolio offers the right solution to support your workflows and fit your individual needs.
No matter where they live, our authors have one thing in common: they use Orthophos SL for unclear diagnoses and complex cases. Find out more about the use of Orthophos SL for 3D imaging.