Implant planning for your Dentsply Sirona CBCT X-ray unit
May it be that you are just getting started in implantology or place implants infrequently, Galileos Implant will lead you through the implant planning process efficiently and within minutes for absolute safety. Thanks to color visualization of the nerve canal and the depiction of the bones in all dimensions, the implant can be ideally adapted to fit the patient’s anatomy.
This ensures high confidence, since stress is minimized through precise planning and implementation. Implantation is not only safer, thanks to directly visible surgical conditions, but also minimally invasive. What's more, you will also save time during patient consultations since your patients understand the 3D visualization more easily.
Your Benefits at a Glance
Ensure quality and keep the full treatment in your practice. With Implants 100% made by you! Thanks to Galileos Implant.
Easy and precise planning
With just a few clicks, even beginners can correctly position an implant.
Surgery with confidence
By using world-class surgical guides like CEREC Guide 2 for a full chairside workflow or a SICAT Guide.
Higher treatment acceptance
Allow your patients to see your diagnostics and your therapeutic proposal.
3-session implant surgery
In combination with CEREC, you can treat your patient in only 3 sessions.
Guided processes are the future of implantology. They ensure greater precision and enhanced safety, especially in difficult situations.
Step by Step: Integrated Implantology in Your Practice
Pre-work: Scan
It is key to have a good view of the given situation from all perspectives for an absolutely reliable diagnosis. The 3D X-ray data are recorded using either a Galileos Comfort Plus, Orthophos SL 3D, or Orthophos XG 3D unit. The data are visualized with the multi-awarded, intuitive Sidexis 4 – the software for maximum X-ray efficiency.
A more holistic treatment planning will additionally include a CEREC imaging unit (Bluecam or Omnicam): the gap situation (including antagonists) can be registered within two minutes. This so-called integrated implantology combines the planning of the prosthesis with information on soft tissue and bone structure. Everything you need at a glance.
1. Diagnosis
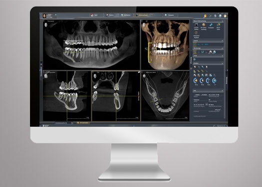
Finalize your diagnosis by scrolling through the 3D data and writing your findings (example seen here is an implant on 46).
Exposure taken with an Orthophos SL 3D, Volume 5 x 5 cm.
2. Map the nerve
Select the jaw side and map the nerve with just a few clicks. Galileos Implant offers one of the most intuitive nerve-mapping toolbox: just click on the displayed nerve canal. Corrections (move, delete, widen, etc.) are possible at any time. Free rotations around the nerve canal are possible to ensure an optimal mapping.
3. Merge the CEREC data
If you are equipped with a CEREC imaging system (Omnicam or Bluecam), you can import your impression and design proposal. This enables to plan the implant simultaneously according to the surgical and prosthetic conditions.
4. Select the implant
Select your implant model in one of the most exhaustive implant library. Abutments are also available. Updates are made in collaboration with numerous manufacturers and on a regular basis. Please note that non-Dentsply Sirona implants are available. If you wish to know if your preferred implant manufacturer is listed, please contact your Dentsply Sirona representative or send us a message (see below).
5. Position the implant
Within a few clicks, the implant simulation is optimally positioned. Rotations around the implants are possible and safety margins are adjustable. Views may be changed (e.g. implant-centered) in order to ease your task.
6. Write your report
A reporter is available to record and/or communicate your implant planning. Page headers may be customized to your practice's visual identity.
7. Order a surgical guide (optional)
Dentsply Sirona offers numerous options for best-in-class surgical guides, some of them enabling a 100% digital workflow. Alternatively, you can also mill a CEREC Guide 2 chairside on your CEREC MC XL Premium package.
Related Solutions
Dentsply Sirona has developed a full family of software solutions to improve your diagnostics and enhance your treatment planning capabilities.