Orthophos , rodina 2D rentgenů, nabízí to správné zobrazovací řešení pro každou zubní ordinaci, od vstupu do digitálního rentgenografie až po specializované požadavky. – Dentsply Sirona nabízí produktovou řadu sofistikovanou v každém směru s ideálním řešením pro každého zubaře.
Dentsply Sirona má dobře navrženou rodinu produktů, která odpovídá Vašim potřebám. Orthophos 2D rentgenové jednotky jsou dodávány s Dentsply Sirona softwarem pro zobrazování Sidexis 4, poskytující lepší, bezpečnější a rychlejší diagnostiku.
Dentsply Sirona portfolio 2D rentgenů
Vyberte si mezi třemi různým modely, počínaje jednotkou pro digitální začátečníky až po jednotku s 2D zobrazením, které je nejlepší ve své třídě.
Člen úspěšné řady Orthophos, s revoluční DCS kvalitou obrazu pro účinné stanovení diagnózy. Osvědčený i do budoucna díky možnosti instalace cephalometrického ramene a 3D upgradu.
Tato všestranná rentgenová jednotka s komplexní škálou schopností pro všechny každodenní úkony ve Vaší praxi. Zajišťuje ostrý obraz díky CSL senzoru s funkcí automatického zaostřování, a to i v anatomicky obtížných případech.
Tato spolehlivá 2D rentgenová jednotka poskytuje hladký vstup do světa digitálního zobrazování a díky volitelnému levému cephalometrickému rameni je také spolehlivým partnerem i pro ortodoncii.
Různé modely, jedna společná DNA. 2D jednotky Orthophos postavené na stejné, úspěšné hardwarové platformě a softwarovém systému:
Účinná diagnóza díky výjimečné kvalitě obrazu
Podle principu ALARA naše rodina 2D zobrazovacích systémů zajistí, že můžete počítat s kvalitou obrazu, kterou potřebuje pro danou indikaci, při nejnižší možné dávce záření.
Pro spolehlivý chod vaší praxe díky osvědčené kvalitě
S hrdým označením "Made in Germany" a prodejem více než 100 000 kusů po celém světě můžeme zcela jistě říci jednu věc: jednotky Orthophos jsou nejspolehlivější přístroje své třídy.
Reprodukovatelné výsledky díky snadnému ovládání
Díky našemu asistentovi pro polohování (PIA, the Patient Positioning & Image Assistant) je polohování a rentgenování velmi jednoduché. Získáte vysoce kvalitní snímky potřebné pro léčbu a samozřejmostí je také pohodlí pro pacienta a obsluhu rentgenové jednotky.
Digitální výhody, které vám usnadní život
Žádná temná komora, žádné chemikálie, nižší provozní náklady, menší dávka záření, rychlejší workflow. To jsou jen některé z výhod, které naše digitální 2D rodina přináší vaší praxi.
PIA (Patient Positioning & Image Assistant) je 10bodový koncept pro snadné polohování pacienta a rentgenové zobrazování a je především o dvou věcech: vysoké kvalitě snímků a komfortu pro pacienta a obsluhu rentgenu. PIA poskytuje podporu a zajišťuje nástroje pro zhotovení vysoce kvalitních snímků, potřebných pro analýzu léčby. Je zaměřen na ergonomii a komfort pacienta i obsluhy rentgenu. Patentovaný skusový blok automaticky zajistí správné naklonění hlavy, umístění pacienta v okluzní rovině, a spolu s 3bodovou fixací hlavy a pevnými madly pro stabilní polohu pacienta omezuje potřebu nežádoucích korekčních skenů.
2D panoramatické zobrazení: revoluční technologie
I když se 3D rentgeny etablují ve stále více praxích, v mnoha případech mají stále své právoplatné místo 2D zobrazovací metody. Je to do velké míry způsobeno radiační hygienou, která je klíčovým komponentem moderní dentální diagnostiky. Co se týče zlepšení kvality obrazu, prozatím nejsou možnosti, které jsou k dispozici v 2D technologii, ani zdaleka vyčerpané. 2D rentgenové jednotky od Dentsply Sirona jsou vysoce ceněné při každodenní práci díky technickým inovacím pro bezkonkurenčně ostré snímky a ovládání, které splní všechna Vaše přání.
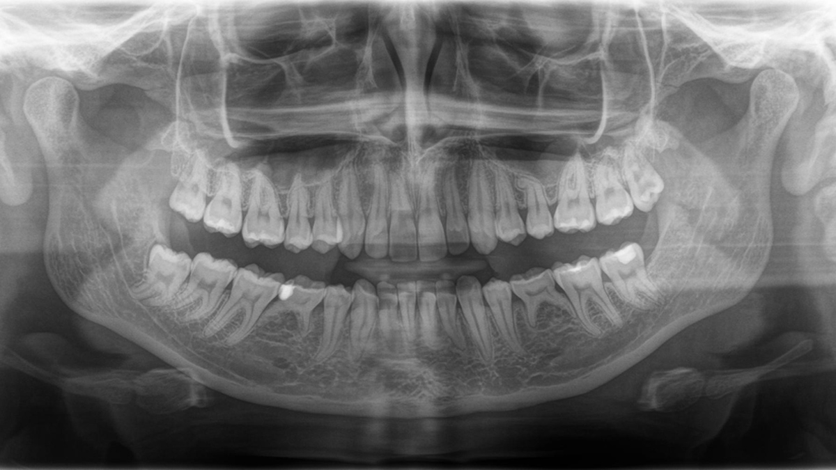
Kvalita panoramatických snímků se stále vyvíjí
Nalevo: 10 let starý PAN snímek. Napravo: DCS snímek pořízený Orthophos SL
Cephalometrické zobrazování
Orthophos SL 2D, Orthophos S 2D and Orthophos E nabízí kdykoli možnost instalace cephalometrického ramene. Aby se vešlo do Vaší rentgenové místnosti, je možné ho namontovat buď na pravou nebo na levou stranu jednotky. (Orthophos E pouze nalevo)
Cephalometrické programy, které pokrývají všechny ortodontické potřeby
Za použití příslušného senzoru získáte laterální a symetrické předozadní ap/pa cephalo snímky i snímky zápěstí.
Dentsply Sirona 2D rentgeny pracují exkluzivně se Sidexis 4. Avšak převod dat ze Sidexis XG do Sidexis 4 je velmi jednoduchý. Sidexis 4 nabízí plnohodnotný digitální zážitek za pomoci nejnovějších nástrojů.
Orthophos XG 3D ready a Orthophos SL 2D umožňují 3D upgrade. Ostatní modely (Orthophos XG 3 a Orthophos XG 5) tuto možnost nenabízejí.
Rodina extraorálních rentgenů
Zjistěte více o naší 2D a 2D/3D hybridní produktové řadě a stáhněte si brožuru o rodině extraorálních rentgenů.
Zjistěte víc o zobrazovacích systémech od Dentsply Sirona. Vyžádejte si produktové informace o intraorálním zobrazování, software nebo 2D a 3D zobrazovací technologii.