Cephalometrické zobrazování
Orthophos S 3D nabízí možnost instalovat kdykoli kefalometrické rameno. Navíc, aby bylo jisté, že se přístroj vejde do vaší rentgenové místnosti, je možné rameno namontovat na pravou nebo na levou stranu jednotky.
Cephalometrické programy, které splňují všechny ortodontické potřeby
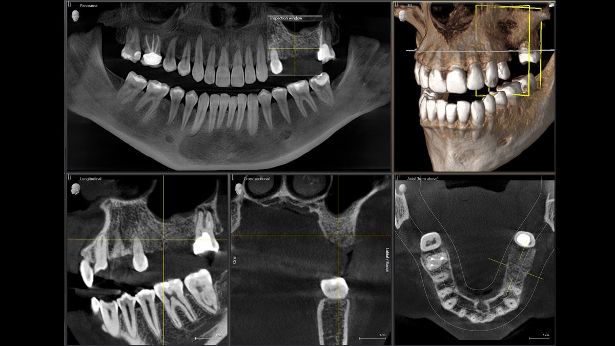
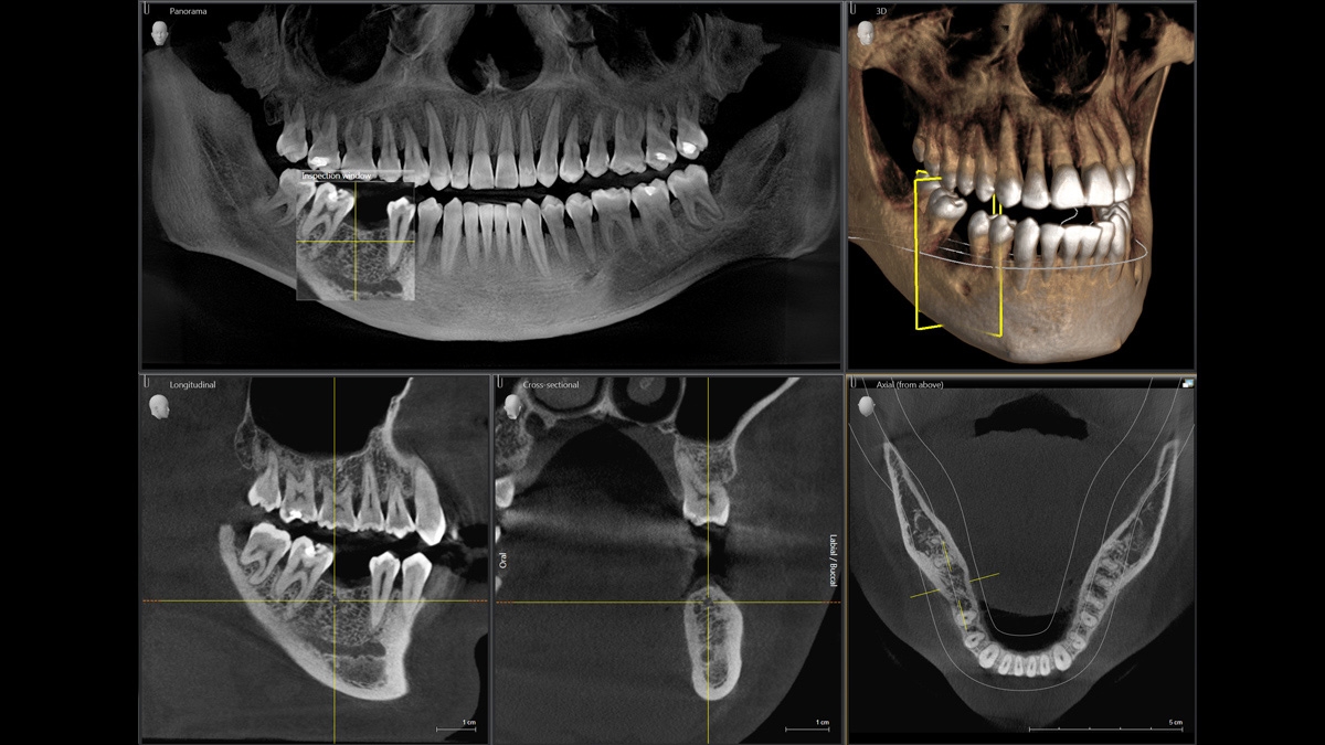
Za použití příslušného senzoru získáte laterální a symetrické předozadní ap/pa kefalo snímky i snímky zápěstí. V případech retinovaných zubů se můžete vrátit zpět k výhodám 3D rentgenů a stanovit jejich přesnou lokaci.