První 3D řešení pro léčbu obstrukční spánkové apnoe
SICAT Air je první 3D řešení, které umožňuje nejen analýzu horních dýchacích cest, ale také vizualizaci a plánování anatomické léčby pomocí čelistní vložky. Kombinace pacientových 3D rentgenových a optických povrchových dat umožňuje zcela digitální workflow.
Analýzu, plán léčby a objednání čelistní vložky SICAT OPTISLEEP lze provést v rámci jedné návštěvy pacienta.
Přehled výhod
První 3D řešení pro léčbu obstrukční spánkovou apnoe:
Přímá vizualizace zúžení
Díky automatické segmentaci dýchacích cest ve 3D
Vysoká akceptace od pacienta
Integrované nástroje pro vzdělávání pacientů objasňující potřebu léčby
Včetně TMJ
Poprvé s ohledem na čelistní klouby (s odpovídajícími objemy 3D rentgenového záření)
Integrace s CEREC pro plně digitální workflow
Importujte svá CEREC data pro čistě digitální pracovní postup: není potřebný žádný fyzický model
Krok za krokem: léčba obstrukční spánkové apnoe pomocí SICAT Air
1. Rentgenový sken
Pomocí jednotky Galileos Comfort Plus nebo Orthophos SL 3D jsou zaznamenána 3D data. Stupeň výčnělku lze nastavit jednoduše pomocí skusové vidlice, například George Gauge.
2. Zaznamenání optického povrchu
EREC skenování horní a dolní čelisti pacienta a následné sloučení s 3D daty v softwaru.
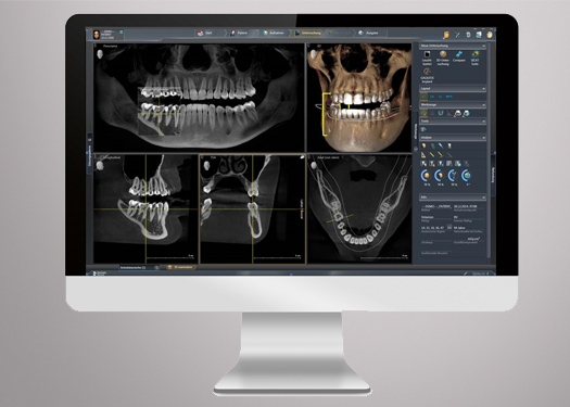
3. Vizualizace zúžení
Pouhými dvěma kliknutími umožňuje SICAT Air automatickou segmentaci horních dýchacích cest. Všechny požadované parametry jsou zobrazeny pro každý pohled v řezu a usnadňují analýzu dýchacích cest.
Zúžení jsou barevně zvýrazněna a díky endoskopické funkci lze horní cesty dýchací důkladně prozkoumat. Pro lepší porozumění pacienta jsou k dispozici různé možnosti zobrazení a automaticky generované podklady pro pacienta.
Objednejte si SICAT Optisleep jedním kliknutím a předejte ho pacientovi během druhé návštěvy. SICAT Optisleep je dvoudílná vložka, která díky svému štíhlému designu nabízí velké pohodlí. Odolný materiál a stabilní spojovací konstrukce. SICAT Optisleep umožňuje utěsnění rtů pro podporu normálního dýchání.
Výměnné konektory se dodávají v 10 velikostech, které poskytují optimální flexibilitu pro maximální odolnost.
Přehled Dentsply Sirona CBCT rentgenů
Dentsply Sirona nabízí 3 modely 3D rentgenů: Galileos Comfort Plus, Orthophos SL 3D a Orthophos XG 3D:
Galileos Comfort Plus
Speciální 3D rentgenová jednotka se sférickým 15 cm objemem a volitelným FaceScannerem pro lepší komunikaci s pacientem.
Všechny revoluční technologie ve 2D zobrazení kombinované s výběrem z 8 cm x 8 cm nebo 11 cm x 10 cm pro 3D zobrazení a volitelné cephalometrické rameno.
Zjistěte víc o zobrazovacích systémech od Dentsply Sirona. Vyžádejte si produktové informace o intraorálním zobrazování, software nebo 2D a 3D zobrazovací technologii.