True, Natural, Anatomy
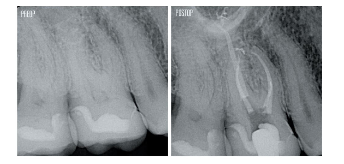
Retaining dentin serves as the critical base for a quality restoration following root canal treatment. The more dentin preserved during an endodontic treatment, the more options there will be to perform a successful, durable restoration.1
TruNatomy preserves as much dentin as possible1 and offers a complete solution including matching irrigation and obturation.