患者ポジショニングと撮影操作サポート
デンツプライシロナは患者ポジショニングと撮影操作を簡単にするための10ポイントコンセプトを開発しました。このコンセプトでは高品質な画像と患者さんの快適性の2点を主眼としています。このコンセプトにより、治療解析のための高品質な画像を確保するために必要なツールをサポート・提供し、患者さんとスタッフのための人間工学に基づく快適性を重視しています。
オーソフォスSL3Dは、オーソフォスシリーズ最上位機種のCT/パノラマ/セファロ複合機です。デンツプライシロナ独自のパノラマテクノロジ―「ダイレクトコンバージョンセンサー(DCS)」や、シャープレイヤーテクノロジーにより、精細度の高い画像を提供。タッチパネル「イージーパッド」による直感的な操作や、自動ポジショニング機能など、ユーザビリティにも優れています。
より豊富な可能性を提供することです。
光変換を省略することでより多くの画像情報を維持するDCS(ダイレクト コンバージョン センサー)テクノロジーにより、驚くほど鮮明な画像が得られます。
シャープレイヤーテクノロジーでは、顎全体が常にシャープレイヤーに収まるように、患者さんそれぞれの解剖学的特性にパノラマカーブを自動的に適合させます。
5 cm × 5.5 cmのボリュームから上気道分析用の最大11 cm × 10 cmまで選択可能な撮影範囲により、幅広い診療が可能になります。
イージーパッド、特許取得のバイトブロック、イージーボリュームインジケーターライト、3点による頭部固定:かつてないほど容易に患者さんを迅速かつ効率的にポジショニング。
直径 5 x 高さ 5.5 cmから直径 11 x 高さ 10 cmまでのニーズに合わせたボリュームサイズのコーディネート
5 cm x 5.5 cm HD 80μm case
オーソフォスSLでのダイレクトコンバージョンテクノロジーと再構築シャープレイヤー法の組み合わせに興奮しているのは、私がテクノロジーへ関心を持っているからというだけではありません。結果として得られる正確な画像は、完璧な解釈に使用できます。3Dでのボリューム選択と組み合わせることで、汎用性の高い診断パートナーを診療に組み込むことができます。
高品質の機器を設計するだけでなく、患者さんに可能な限り最高のケアを提供するために必要なツールとサポートをお客様に提供するソリューションを提供しています。
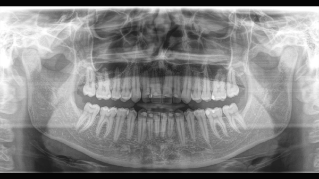
Direct Conversion Sensor(DCS)を用いた新たなパノラマX線撮影。X線が電気信号に直接変換されるため、従来のシステムのような光変換に伴う信号ロスが生じません。精細度の高い画像が得られます。
この画像は、DCSセンサーを使用した場合と使用しない場合のX線画像を示しています。センターの矢印を動かして、DCSセンサーによる画質の違いを実感してください。
デンツプライシロナは患者ポジショニングと撮影操作を簡単にするための10ポイントコンセプトを開発しました。このコンセプトでは高品質な画像と患者さんの快適性の2点を主眼としています。このコンセプトにより、治療解析のための高品質な画像を確保するために必要なツールをサポート・提供し、患者さんとスタッフのための人間工学に基づく快適性を重視しています。
オーソフォスSL 3Dには、いつでもセファロアームを取り付けることができます。さらに、貴院のX線検査室に合わないことがないよう、アームは左右どちらかのユニットにも取付け可能です。
専用センサーを用いて、片側および対称のPA像またはAP像、および手根骨像を撮影できます。転位歯の場合、3D X線の利点を使ってその正確な位置を確認することができます。
高解像度のパノラマX線画像を得るには、正しい焦点が不可欠です。 顎はデバイスの鮮明な画像層になければなりません。 このため、オーソフォスは1回転で数千の個別の画像を作成し、顎が最適に配置されている領域を自動的に認識します。
はい、デンツプライシロナの3D ImagingはSIDEXIS 4でのみ作動します。しかし、SIDEXIS XGからSIDEXIS 4へのデータの移行は非常に容易です。
オーソフォス SL 2Dおよびオーソフォス S 2Dは3Dアップグレード可能です。 オーソフォス Eはこのオプションを提供していません。
ハードウェア、ソフトウェアのいずれにおいても幅広いイメージングソリューションをご用意しております。
| Performance features |
Axeos | Orthophos SL 3D | Orthophos S 3D |
|---|---|---|---|
| Fields of View (cm) | 5x5 to 17x13 | 5x5 to 8x8 5x5 to 11x10 |
5x5 to 8x8 5x5 to 11x10 |
| 3D Low Dose | yes | yes | yes |
| HD mode | yes | yes | yes |
| Smart height adjustment | yes | - | - |
| X-ray generator |
60 - 90 kV, 3-16mA | 60 - 90 kV, 3-16mA | 60 - 90 kV, 3-16mA |
| Panoramic exposure time |
P1: max 14,2 s P1 Quickshot: max 9,1 s |
P1: max 14,2 s P1 Quickshot: max 9,1 s |
P1: max 14,2 s P1 Quickshot: max 9,1 s |
| Radiation time Ceph |
Standard 9,4 s Quickshot 4,7 s |
Standard 9,4 s Quickshot 4,7 s |
Standard 9,4 s Quickshot 4,7 s |
| User interface |
new EasyPad | EasyPad | EasyPad |
| Patient positioning |
automatic (occlusal bite block) | automatic (occlusal bite block) |
automatic (occlusal bite block) |
| Panorama technology |
DCS | DCS | CsI Plus |
| Autofocus |
yes | yes | yes |
| Ceph arm (optional) |
left or right | left or right | left or right |
| Ceph unit with 2 sensors |
yes | yes |
yes |
| Quickshot |
yes | yes |
yes |
| Base |
optional | optional |
optional |
| Wheelchair accessible |
yes | yes | yes |
| Remote control |
optional | optional |
optional |
| Ambient Light | yes (cabinet and backlight) | yes (backlight) | - |