Relaxed and pleasant procedures are equally important for everyone, the patients and the staff alike. It is satisfying and motivating when everything goes according to plan and things go smoothly. The use of Orthophos or Axeos with Sidexis 4 provides you with targeted support. The X-ray systems are simple to use, yet individual in their treatment opportunities. This ensures that every aspect of the treatment process creates a positive experience.
Correct patient positioning leads to high image quality to support an accurate diagnosis and facilitates an improved patient experience.
This is our 10-point concept for easy patient positioning and X-ray imaging. It is primarily about two things: high image quality and comfort for the patient and the assistant.
EasyPad
The EasyPad allows you the ability to pivot and tilt the touch display and also provides intuitive program selection
Smart height adjustment
The smart height adjustment allows the preparation of the X-ray unit before the patient arrives
Motorized, adjustable headrest
Motorized, adjustable headrest with automatic stop at the patient’s head and automatic opening at the end of image capture
Unique autopositioner automatically determines the correct head tilt.
Automatic spine compensation
Automatic spine compensation for better panorama image quality in the anterior region
Light lines
Light lines for easy visibility of the volume
Automatic temple width measurement
Based on the automatic temple width measurement the device rotation adjusts to each individual patient
Universal bite block
The X-ray area can be easily adapted using the universal bite block, which allows for modification on an individual patient-to-patient basis
Ergonomic handles
Ergonomic handles to support stable patient positioning
The Difference Will Make it
Simple positioning
Intuitive operation
Short capture time
Images of Working with our Patient Positioning & Image Assistant concept
Barrier-free access
More stability for high image quality
Universal bite block
Talk about the occlusal bite block from Dentsply Sirona
Intuitive EasyPad
Intuitive operation through the EasyPad
The operation of the occlusal bite block couldn't be simpler. With the help of the symbols and colors on the display of the X-ray device, practitioners have all the information required for optimal fine-tuning of the device. Illuminated arrows indicate in which direction the unit must be moved to achieve ideal head inclination. The device stops automatically once the correct position has been reached.
Swivel and tilt with "EasyPad" operating panel
Clear arrangement of buttons
Simple symbols
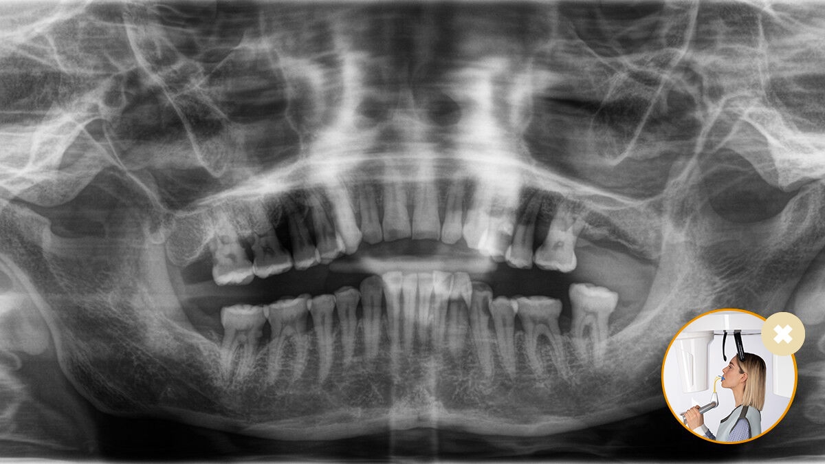
2D Patient Positioning with occlusal bite block
The Result: Precise scans thanks to the occlusal bite block
Correct patient positioning with the occlusal bite block ‒ guaranteed ideal inclination for panoramic images
Positioning with the Orthophos SL is very easy for our team. The many tools, such as automatic light localizers, illuminated height adjustment buttons, and the intuitive program selection let us work efficiently while giving us a very good image quality.
The award-winning design of Orthophos and Axeos is both puristic and clean. The digital dental units can be easily integrated into any room concept and are accessible without barriers, providing support and modifications for a number of clinical situations. Each model fits into the 'footprint' of the other and can be configured individually.
Because we want the patient to feel comfortable in the X-ray environment, we have designed the Orthophos SL and Axeos prioritizing both the ergonomic elements, as well as the overall needs of the patient. Thus, the integrated lighting concept for tranquility was just as important to us as the features supporting positioning comfort.
More Benefits for your Practice
Whether hardware or software, a variety of imaging solutions are waiting for you.
No matter where they live, our authors have one thing in common: they use Orthophos SL for unclear diagnoses and complex cases. Find out more about the use of Orthophos SL for 3D imaging.
Dowiedz się więcej o systemach obrazowania Dentsply Sirona i poproś o informacje na temat obrazowania wewnątrzustnego, oprogramowania lub technologii obrazowania 2D i 3D.