SICAT Endo - the first dedicated guided endo solution
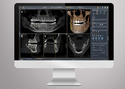
SICAT Endo is the first and only 3D solution for the diagnosis and planning of endodontic treatments. In addition to providing a more detailed realization of guided root canal treatment, SICAT Endo simplifies the endodontic process as a whole, providing security and piece of mind.