Revolutionary technology, patented positioning solutions and extremely versatile 2D/3D hybrid unit features – all this comes together to create a unique imaging solution. And the optional ceph arm adds even more benefits.
The top-quality 2D/3D high-end device for practices with a keen understanding of the latest technologies and for those who simply want more. The integrated Direct Conversion Sensor (DCS) completely redefines the standard of panoramic imaging – delivering unique sharpness. The namesake, Sharp Layer technology, provides autofocused panoramic images, even in difficult cases. The Orthophos SL guarantees maximum ease of use through automatic positioning, intuitive operation with the EasyPad and offers an individually adjustable ambient light for an exclusive look and feel.
15 Use Cases around the World
No matter where they live, our authors have one thing in common: they use Orthophos SL for unclear diagnoses and complex cases. Find out more about the use of Orthophos SL for 3D imaging.
With the Orthophos SL 3D, your practice on the 2D and 3D side is perfectly prepared for a wide variety of treatment situations.
Outstanding images
The unique DCS sensor for the best image quality
Comprehensive panoramic and cephalometric programs
For bitewing, sinus or ceph images. The ceph arm on the left or right is optional can be retrofitted at any time.
Reliable sharp images
The Sharp Layer technology offers the possibility of displaying in reliable sharpness on different levels
Safe and proven patient positioning
With motorized temple and forehead support, automatic temple width measurement, light localizers and sturdy handles
3D according to your needs
With the Low Dose and HD function, you can produce 3D images in the dose range of 2D X-ray and HD images with up to 80 μm resolution
Flexible volume
From ø 5 cm x 5.5 cm to ø 11 cm x 10 cm
Optimally reproducible images
Autopositioning with the occlusal bite block and the intuitive EasyPad provide stability and reproducible image quality
Pleasant atmosphere
The ambient light is available in over 30 colors
Flexible volumes for a variety of indications
Coordinated volume sizes for your needs from Ø 5 x 5.5 cm to Ø 11 x 10 cm
It is not only because of my interest in technology that I find the combination of direct conversion technology and the reconstructive sharp layer procedure in the Orthophos SL to be truly exciting. The resulting precise images work perfectly for interpretation. In combination with the volume selection in 3D, we have a universally applicable diagnostic partner for our practice."
5 cm x 5.5 cm Low Dose volume, 3 μSv, displaced tooth case
MARS – Metal Artifact Reduction Software
Metal artifacts are a challenge in 3D X-ray imaging. Radiopaque objects create shadowing and streaking effects during the three-dimensional reconstruction and as such interfere with the findings. MARS automatically reduces metal artifacts and facilitates the diagnosis.
W systemach obrazowania Dentsply Sirona nie tylko projektujemy wysokiej jakości sprzęt, ale także rozwiązania, które zapewniają naszym klientom narzędzia i wsparcie potrzebne do zapewnienia najlepszej możliwej opieki swoim pacjentom. To wszystko zapewnia Ci prosty i intuicyjny dostęp do zdjęć rentgenowskich, wspiera każdy rodzaj leczenia, oraz pozwala Tobie i Twojej praktyce oferować najszerszy zakres usług.
Sensor z konwersją bezpośrednią (DCS) na nowo zdefiniował standard obrazowania panoramicznego. Promienie rentgenowskie są konwertowane bezpośrednio na sygnały elektryczne – w przeciwieństwie do konwencjonalnych systemów nie ma utraty sygnału w wyniku konwersji światła. Rezultatem tego rozwiązania są obrazy o wyjątkowo wysokim poziomie ostrości – nawet przy bardzo małej dawce.
DCS: porównanie
Obraz przedstawia zdjęcie rentgenowskie bez systemu DCS oraz z sytemem DCS. Zmieniaj położenie suwaka aby zobaczyć jak dużą różnicę w jakości obrazowania powoduje sensor DCS
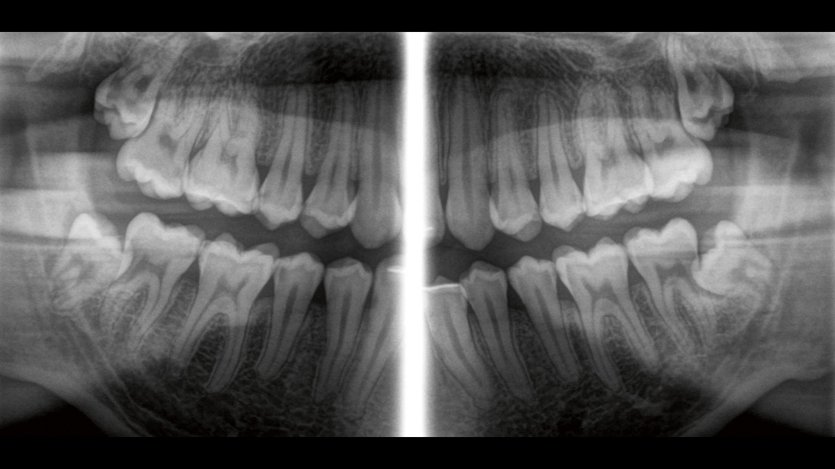
Gallery of Sample 2D Panoramic Images
Program P1
Program P1
Program P1
Bitewing
Bitewing
Dedicated programs for young patients.
The horizontally and vertically reduced children's panorama program delivers high-definition images at the lowest dosage.
Quickshot function
The quickshot function reduces the capture time and dosage. This facilitates, for example, working with children in panoramic and ceph images.
Opracowaliśmy 10-punktową koncepcję ułatwiającą pozycjonowanie pacjenta. Nasza koncepcja to przede wszystkim wysoka jakość obrazu oraz komfort dla pacjenta i asysty. Koncepcja ta wspiera i zapewnia narzędzia potrzebne do wykonania najwyższej jakości obrazów do analizy leczenia. Opatentowana technologia wielofunkcyjnych zagryzaków, na przykład automatycznie ustalający prawidłowe nachylenie głowy pacjenta, pozycjonując go w płaszczyźnie zgryzu wpływa na szybkość i jakość pozycjonowania. Do dyspozycji mamy również 3-punktowe mocowanie głowy wraz z pomiarem anatomii czaszki pacjenta. Wygodne uchwyty dla dłoni zapewniają stabilne pozycjonowanie ograniczając niepotrzebne skany korygujące.
With a selection of over 30 colors, the Ambient Light creates a pleasant atmosphere for your patient and blends in perfectly with your modern practice look.
Cephalometric Imaging
Orthophos SL 3D offers the capability to install a cephalometric arm at any time. And to be sure it fits in your x-ray room, the arm can be mounted either on the right side or left side of the unit.
Ceph programs that cover all orthodontic needs
Using a dedicated sensor, you get lateral and symmetrical p.a. or a.p. as well as carpus images. For displaced teeth, you can also use 3D x-rays to determine their exact location.
Przykładowa galeria zdjęć cefalometrycznych
Autofocus – Idealne zdjęcia w sposób automatyczny.
Aby osiągnąć najwyższy poziom ostrości niezbędna jest odpowiednia ogniskowa. Szczęka musi znajdować się w obszarze ostrej warstwy urządzenia. W tym celu Axeos tworzy kilka tysięcy pojedyńczych zdjęć podczas jednego obrotu głowicy i automatycznie rozpoznaje obszary w których szczęka jest idealnie spozycjonowana. Te obszary są wyświetlane na głównym obrazie bez żanych manualnych kroków pośrednich.
A sharp image is automatically calculated based on the results of the autofocus. The result: Images in maximum sharpness.
Urządzenia Dentsply Sirona 3D współpracują wyłącznie z Sidexis 4. Niemniej jednak migracja danych z Sidexis XG do Sidexis 4 jest bardzo łatwa. Sidexis 4 umożliwia w pełni cyfrowe doświadczenia dzięki najnowszym narzędziom.
Zarówno Orthophos SL 2D jak i Orthophos S3D pozwalają na rozbudowę urządzenia do wersji 3D. AXEOS jest dedykowanym urządzeniem hybrydowym. Orthophos E nie posiada takiej opcji.
Rodzina aparatów do obrazowania 2D/3D
Dowiedz się więcej o naszych aparatach 2D oraz hybrydowych aparatach 2D/3D oraz pobierz katalog o rodzinie aparatów zewnątrzustnych Dentsply Sirona.
Dowiedz się więcej o systemach obrazowania Dentsply Sirona i poproś o informacje na temat obrazowania wewnątrzustnego, oprogramowania lub technologii obrazowania 2D i 3D.