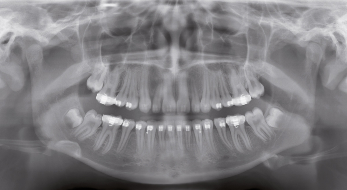
Sin márgenes alrededor de rellenos metálicos, sin contraste excesivo que podría, por ejemplo, llevar al diagnóstico incorrecto de la caries: el algoritmo del software innovador ASTRA mejora de forma significativa la calidad de las imágenes Ceph y panorámicas 2D.
El algoritmo de reconstrucción estructurada de forma anatómica (ASTRA) genera imágenes estructuradas con contrastes más altos sin el aspecto de artefactos de borde. ASTRA es un plugin del nuevo software SIDEXIS 4 y garantiza un detalla preciso sin artefactos. Esto permite que los usuarios realicen diagnósticos rápidos y confiables.
Sin
Márgenes negros alrededor de los rellenos metálicos
Sin
Artefactos problemáticos
Mayor
Contraste en una imagen estructurada
Me impresionó mucho el detalle preciso en las imágenes tomadas con ASTRA. Con este algoritmo, finalmente tenemos más sentido de precisión en el diagnóstico incluso especialmente con casos difíciles.
Con cilindro 3D perfectamente diseñado de 8cm de diámetro y 8 cm de altura de volumen y una resolución estándar de 160 µm, Orthophos XG 3D está precisamente diseñado para las rutinas diarias de los consultorios dentales. En todos los casos estándar, el módulo 2D de Orthophos XG 3D, con programas de rayos X cefalométricos y panorámicos extensos, entrega la imagen de rayos X que usted necesita con ASTRA.
Inicie con 2D y después actualice a 3D. Tenga beneficios por los programas de vanguardia y las opciones de diagnóstico para imágenes 2D con Orthophos XG 3D. El posicionamiento automático de pacientes con el bloque de mordida oclusal y una operación muy sencilla e intuitiva con EasyPad para apoyar el flujo de trabajo en su consultorio.
Orthophos XG 5 es el colega ideal para dentistas generales y ortodoncistas. Todos los parámetros de imagen se personalizan para tareas de diagnóstico específicas y se adaptan de forma automática al tamaño de la cabeza. El programa panorámico pediátrico reducido de forma horizontal y vertical ofrece una calidad de imagen sorprendente con la dosis más baja. Ideal para consultorios que tratan muchos niños.
Alta calidad, duradero y confiable: Orthophos XG 3 es el modelo básico ideal para consultorios dentales generales. La fácil operación de rayos X del dispositivo y la integración impecable en sus rutinas diarias le ahorraran valioso tiempo. La alta calidad de imagen y operación intuitiva y eficiente con el ganador de premios, Sidexis 4, le garantiza diagnósticos rápidos y fáciles.
La familia de rayos X Orthophos 2D ofrece la solución correcta para cada consultorio. Desde la entrada de radiografía digital hasta la solución perfecta para su área de especialización - Dentsply Sirona cuenta con una familia de productos bien diseñada con la solución ideal para cada dentista.
Obtenga más información sobre los equipos de imagen de Dentsply Sirona y solicite información sobre imágenes intraorales, software o tecnología de imágenes 2D y 3D