Ortodoncia
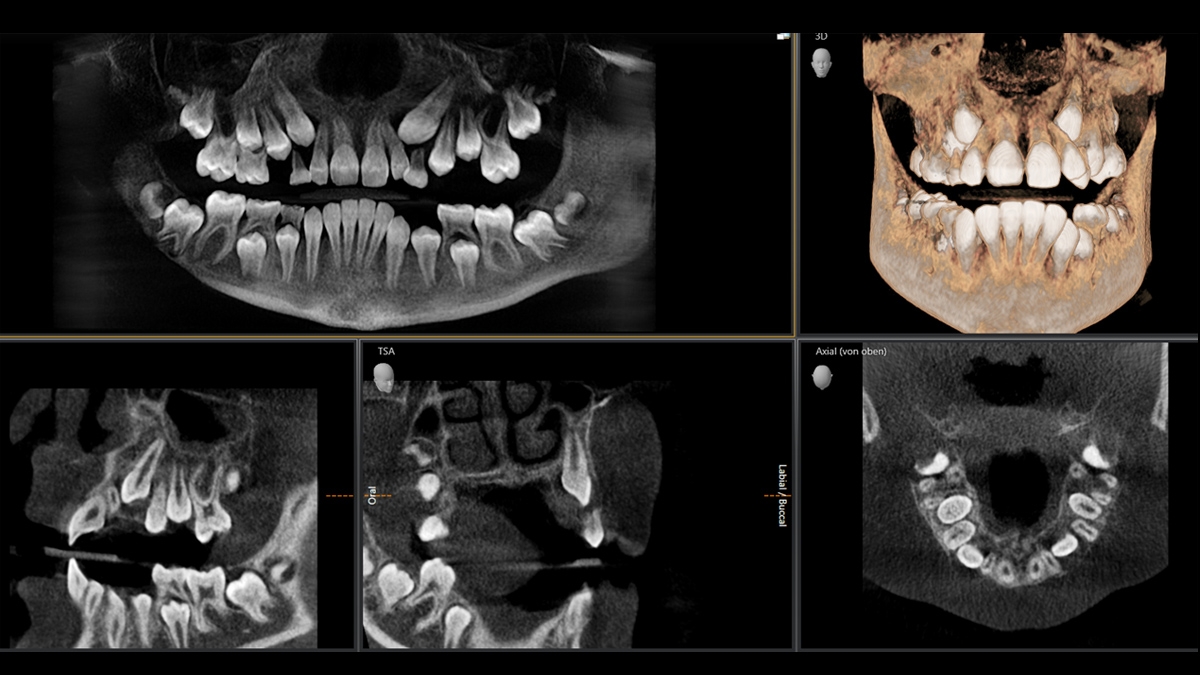
Mientra trabaja con niños, es esencial tener un nivel adicional de cuidado, sin embargo, existirán casos en los que las imágenes 2D no pueden proporcionar la información necesaria. Con el modo de dosis baja ahora ambos mundos pueden combinarse: el nivel de dosis baja de una imagen panorámica para proteger a los pacientes jóvenes y el nivel de información de una imagen CBCT para el mejor tratamiento.