Implante SICAT: integración impecable con óptimos resultados
Implante SICAT lo guía de forma efectiva y sencilla a través del flujo de trabajo de implantología - ya sea usted un implantólogo con experiencia o sólo está comenzando.
La integración impecable entre software y hardware le brinda una experiencia de usuario única y un colega efectivo para su flujo de trabajo. Implante SICAT le apoya con precisión y exactitud verdadera durante el proceso de planeación de implante. Esto ayuda al usuario a anticipar complicaciones probables y proporciona certeza y seguridad durante el procedimiento.
En combinación con las diversas opciones de guía quirúrgica, que pueden ordenarse directamente dentro del software, envíe a su laboratorio local o genere directamente en sitio con su unidad de fresado CEREC, usted recibirá el apoyo óptimo hasta el final de la restauración.
Resumen de ventajas
Implante SICAT ofrece varias ventajas para su planeación de implante
Planeación clara y precisa
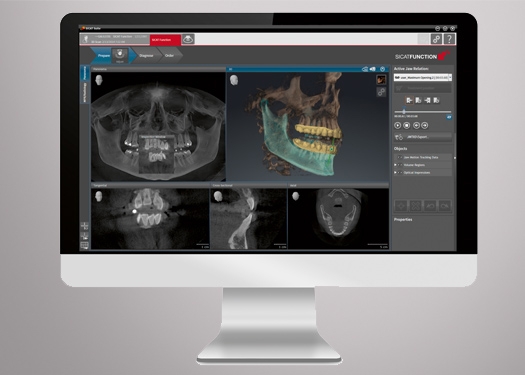
Interfaz de usuario clara y herramienta de planeación intuitiva le brindan todo lo que necesita para un proceso de planeación de implante eficiente. Con la integración de sus datos CEREC, ahora puede visualizar el proceso de planeación completo en color y textura real - para una experiencia de planeación realmente única al más alto nivel.
Certeza y seguridad quirúrgica
En combinación con CEREC Guide 2 o 3, puede ofrecer a sus pacientes la precisión más alta y grado de seguridad clínica. Ya sea que desee mapear el flujo de trabajo completo en su consultorio, trabajar con un laboratorio local o utilizar un proveedor, Implante SICAT le ofrece la flexibilidad de definir el flujo de trabajo que es ideal para usted.
Mayor aceptación del tratamiento
La visualización 3D facilita la comprensión y aceptación del plan de tratamiento para su paciente y mejora la comunicación y la experiencia general del paciente.
Los procesos guiados son el futuro de la implantología. Garantizan mayor precisión y seguridad, especialmente en situaciones difíciles.
Paso a paso: implantología con implante SICAT
Preparación: escaner
Con el sistema de escaneo CEREC (Primscan u Omnicam), la situación de brechas (incluyendo antagonistas) puede capturarse en un corto tiempo. Este flujo de trabajo de implantología integrada utiliza la estructura ósea y el tejido blando como base para la planeación de la prótesis para garantizar la precisión óptima y lograr un resultado estético y funcional.
1. Diagnóstico y adquisición CBCT
Para un diagnóstico confiable, es importante examinar de manera precisa la situación desde todas las perspectivas. Para obtener la información correcta, primero debe tener el equipo correcto. Orthophos SL 3D u Orthophos S 3D proporcionan datos de rayos X 3D importantes necesarios para evaluar la situación clínica y cuando se utilizan junto con el software Sidexis 4 ganador de premios, su flujo de trabajo es eficiente desde el inicio.
2. Superposición de datos CAD/CAM con CBCT
Si cuenta con CEREC Omnicam o CEREC Primescan, puede importar los datos de superficie grabados y propuestas de prótesis en implante SICAT. Las series de datos STL de otros fabricantes también puede utilizarse. El traslape garantiza que el implante puede planearse de forma óptima de acuerdo con el eje de restauración.
3. Mapeo del nervio
Implante SICAT le ofrece la posibilidad de marcar el canal del nervio de forma intuitiva y sólo con unos cuantos clics: haga clic en el canal del nervio y continue a lo largo con clics individuales hasta que haya marcado con éxito el nervio completo. Correcciones (mueva, borre, expanda, etc.) se realizan sin complicaciones y son posibles en todo momento.
4. Seleccione el implante
Además de los implantes de Dentsply Sirona (Xive, Ankylos, Astra Tech y Atlantis), Implante SICAT mantiene una de las bases de datos más amplia de implantes y pilares de distintos fabricantes. Las actualizaciones regulares se realizan en colaboración con varios proveedores para mantener la selección de sistemas de implante actualizados.
5. Coloque el implante
Con pocos clics, el implante se coloca de forma óptima en el software de planeación. Gracias al giro de 360° alrededor del implante y la advertencia de colisión automática en relación con el canal de nervio marcado y otros implantes planeados, puede lograr rápidamente la colocación óptima del implante.
6. Envíe los resultados de su planeación
Además de imprimir un reporte de tratamiento detallado, la planeación ahora también puede exportarse para permitir el diseño de la plantilla en cualquier otro lugar.
7. Producción de guía quirúrgica
Dependiendo de sus necesidades, existen diversas maneras de crear una guía quirúrgica para apoyar la colocación del implante. Puede ordenar la plantilla directamente de SICAT, directamente en el software de implante SICAT, enviarla a un laboratorio local o fresar directamente con su unidad de fresado CEREC en su consultorio. Esto le permite permanecer flexible y decidir qué tipo de flujo de trabajo prefiere.
Resumen de CBCT de Dentsply Sirona
Imagenología de Dentsply Sirona ofrece tecnología de primera para sus necesidades de rayos X 3D
Orthophos SL 3D
El dispositivo de vanguardia premium 2D/3D para consultorios que están familiarizados con las más recientes tecnologías y simplemente desean más. El sensor de conversión directa integrado (DCS) redefine por completo el estándar de imágenes panorámicas y entrega una nitidez única.
La unidad de rayos X 2D/3D de alta calidad con un amplio rango de servicios para cada consultorio. Ya sea como dispositivo 2D puro o incluyendo un módulo 3D - Orthophos S es un colega confiable y optimizado para las tareas diarias.
Dentsply Sirona ha desarrollado una familia completa de soluciones de software para mejorar su diagnóstico y aumentar sus capacidades de planeación de tratamiento.
Obtenga más información sobre los equipos de imagen de Dentsply Sirona y solicite información sobre imágenes intraorales, software o tecnología de imágenes 2D y 3D