¿Le gustaría saber qué tipo de imágenes son posibles con la tecnología de rayos X en 3D y lo que el sensor DCS es capaz de hacer en el consultorio? Nos gustaría demostrar la calidad del rango de productos de Dentsply Sirona con varios ejemplos de casos prácticos. Hemos recopilado ejemplos de una amplia variedad de consultorios junto con las imágenes de rayos X producidas con nuestros dispositivos.
Tanto los usuarios como los pacientes estamos totalmente impresionados por la calidad de Orthophos SL. Como usuarios de CEREC tuvimos que esperar varios años para Orthophos SL y bien valió la pena la espera, recomendaríamos este dispositivo para todos los consultorios que buscan atender al segmento premium.
Rayos X con panorama 2D con Orthophos SL: calidad de imagen sorprendente gracias a la tecnología DCS
Joint dental practice
Dr. Ralph & Karen Bickel
Am Floßkanal 3
82515 Wolfratshausen, Germany
Tel.: +49 (0) 8171 / 214910
Nuestro consultorio dental ofrece el ambiente y el servicio de una clínica privada. Nuestros tratamientos se centran en prótesis con CEREC, periodontología e implantología. Tanto nosotros como practicantes y nuestros pacientes estamos extremadamente impresionados por la calidad de Orthophos SL y las imágenes 2D y 3D que produce. Como usuarios de CEREC tuvimos que esperar varios años para el Orthophos SL. Sin embargo, podemos decir con seguridad que valió la pena la espera y sin duda recomendaríamos este dispositivo a todas las prácticas que tengan como objetivo servir al segmento premium.
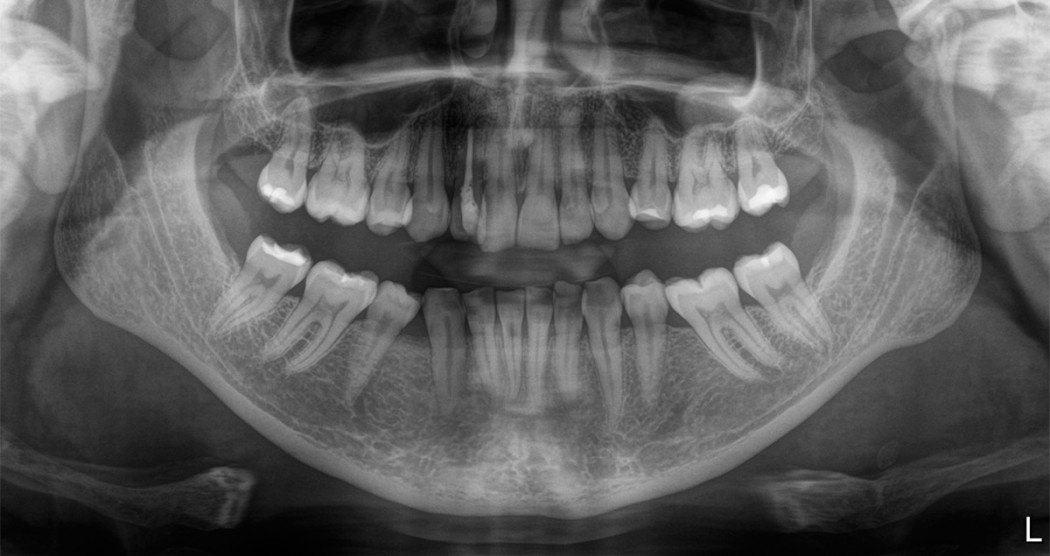
La imagen de rayos X muestra a un paciente (hombre, 59 años) con los siguientes hallazgos: osteítis periapical extensa 47, 36 y osteitis apical 14. Restauración endodóntica 14-16, canal radicular sobrecargado 22, relleno radicular insuficiente 45, caries profunda 18 , pérdida ósea vertical y horizontal distal 45. 1. Para una mayor aclaración antes de la cirugía, produjimos una imagen 3D de 8x8 cm utilizando el Orthophos SL.
Dental practice
Drs. Hubrich, Kiewitt, Brandenstein
Bregenzer Str. 67
88131 Lindau, Germany
Tel. +49 (0) 8382 / 280660
En nuestro moderno consultorio dental en Lindau, en el lago de Constanza, realmente queremos una sola cosa: garantizar la salud y la belleza de sus dientes a largo plazo. Ofrecemos una amplia gama de servicios terapéuticos destinados a la preservación de los dientes.
La imagen de rayos X muestra a un paciente (hombre, 45 años) con el siguiente hallazgo: Periodontitis crónica generalizada.
Dental practice
Ludger Busch
Bremer Str. 11
49377 Vechta, Germany
Tel.: +49 (0) 4441 / 921424
En nuestro consultorio dental en Vechta, nuestros tratamientos se centran en la odontología estética y la implantología.
La imagen de rayos X muestra a un paciente (hombre, 32 años) con los siguientes hallazgos: 18d 15d 14d 23c, 36 raíces quedan debajo del póntico 38d, puente creado alio loco. A pesar de la bata protectora de rayos X que causó el artefacto en el área central inferior de la imagen, la calidad de la imagen es perfecta e ideal para fines de diagnóstico.
Dental practice
Dr. Gerd Frahsek
Hüserstr. 7 a
42555 Velbert, Germany
Tel.: +49 (0) 2052 / 80344 www.dr-frahsek.de
Estamos ubicados en Bonsfeld, un distrito de Velbert Langenberg, Alemania, desde 1989. La medicina dental y oral en nuestra práctica se basa en la profilaxis (prevención) y los métodos modernos de tratamiento. Esto incluye, entre otras cosas, los métodos CEREC e inLab, imágenes en 3D e implantología integrada.
La imagen de rayos X muestra a nuestra paciente (mujer, 18 años) con los siguientes hallazgos: dentición que necesita tratamiento, 37 destruida, translucidez apical, caries 16 mesial, 18, 28, 48 impactada.
Los dientes sanos y hermosos juegan un papel importante en el bienestar general y la calidad de vida en todas las edades. Es por eso que nuestro objetivo es proporcionar a nuestros pacientes el mejor servicio dental posible que incluya una amplia consulta, métodos de tratamiento innovadores y una atención dental óptima. En nuestra práctica, nos enfocamos en implantología, periodontología, restauraciones CEREC / all-ceramic y odontología pediátrica.
La imagen de rayos X muestra a un paciente (hombre, 6 años) con los siguientes hallazgos: Erupción impedida con rotación dental a los 12 y 22 años.
Dentists at Seepark Meuter and Wachter-Meuter
Reinhard Meuter
Sundgauallee 90
79110 Freiburg, Germany
Tel.: +49 (0) 761 / 806860 www.praxis-wachter-meuter.de
Los principales puntos focales de nuestra práctica conjunta son la producción de restauraciones totalmente cerámicas con 3/4 coronas, coronas y puentes de forma digital (CEREC). La implantología y la periodontología forman el núcleo de nuestro trabajo para, en particular, evitar la necesidad de prótesis removibles. Hemos estado trabajando exclusivamente con unidades de rayos X digitales durante unos 20 años, nuestro modelo actual es el Orthophos SL.
La imagen de rayos X muestra a un paciente (mujer, 39 años) que presentó los siguientes hallazgos y que sufría de dolor irradiado en la mandíbula superior izquierda: en la panorámica X se pueden ver defectos profundos y cariosos debajo de los empastes sintéticos existentes. -ray en los dientes 27 y 28. Los cambios hipodensos debajo de los empastes sintéticos en los dientes 16 y 47 también son una indicación de caries. Los rellenos de raíz y la región apical de 15, 11, 22 y 45, así como los diversos pasadores y superestructuras en 11 y 45 se pueden evaluar fácilmente. Las juntas adhesivas de las restauraciones totalmente cerámicas en 11, 12, 22 y 45 también se visualizan bien. La pérdida ósea vertical se puede ver mesial de 37.
Joint practice for dental, oral and maxillofacial surgery
Dr. Franz-Georg Rademacher and Dr. Franz Rademacher
Kampstrasse 17
57462 Olpe, Germany
Tel.: +49 (0) 2761 / 4555 www.zahnarzt-olpe.de
Estamos comprometidos a ofrecer servicios dentales de primera clase y las últimas técnicas de tratamiento. Continuamente monitoreamos nuestro desempeño y asistimos regularmente a seminarios de capacitación para satisfacer las necesidades de nuestros pacientes y cumplir con los requisitos de la odontología moderna. El objetivo del tratamiento son dientes sanos y restaurados. Un paciente sonriente con dientes bonitos es la medida de nuestro éxito.
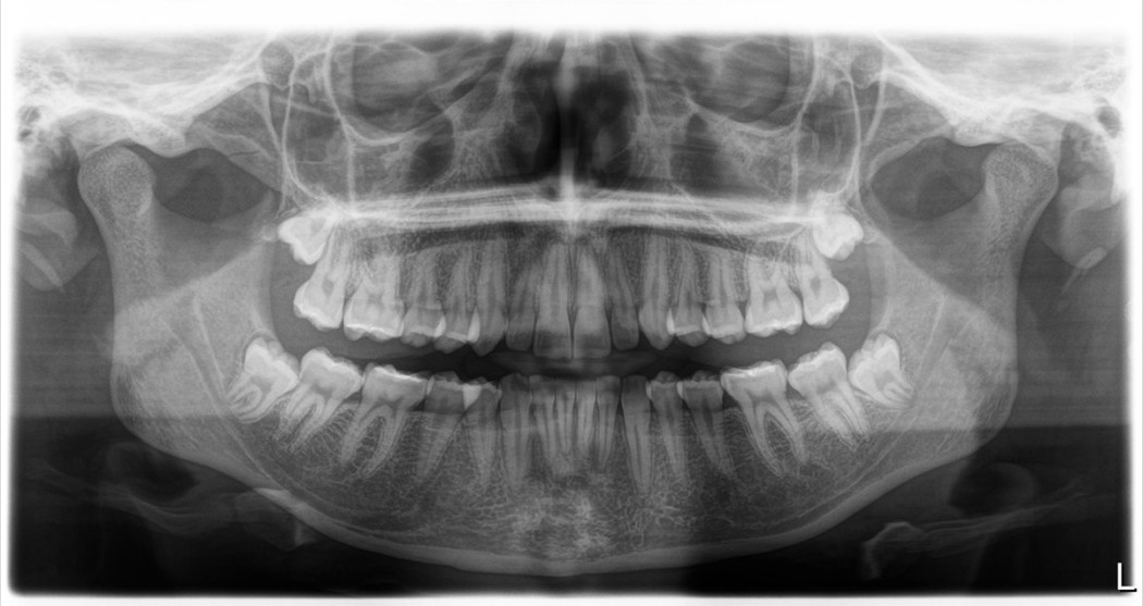
La imagen de rayos X muestra al paciente (mujer, 22 años) con la siguiente indicación: Búsqueda de enfoque - 8. Hallazgos: La OPG muestra una dentición sana y sin caries. Las muelas del juicio 18, 28, 38 y 48 están impactadas. Las articulaciones mandibulares son iguales en ambos lados, los senos maxilares son simétricos y, hasta donde se puede ver en la OPG, también son normales. No se encontraron estructuras patológicas.
Nuestro nuevo sistema de rayos X funciona con la última generación de sensores DC (conversión directa) de alta resolución y la innovadora tecnología Sharp Layer para crear escaneos con detalles claros que, en términos de su resolución, están a la par con las películas dentales intraorales. A pesar de la baja dosis de radiación, las situaciones que no eran visibles en las imágenes anteriores ahora se muestran claramente. El enfoque principal en nuestra práctica es la terapia CMD y las prótesis.
La imagen de rayos X muestra a un paciente (mujer, 28 años) con los siguientes hallazgos: 12 posibles fracturas laterales, mala cicatrización de la apicectomía. El lado izquierdo de la mandíbula sobre 26, 27 sombra redonda claramente definida.
Practice for implantology, oral and maxillofacial surgery
Dr. Dr. Anette Strunz
Bundesallee 56
10715 Berlin, Germany
Tel.: +49 (0) 30 / 85757585 www.strunz.berlin
Nuestro concepto de tratamiento se extiende desde implantes dentales, aumento óseo, elevación de senos y cirugía de la piel hasta periodontología y muelas del juicio. Nuestro objetivo es dar siempre la bienvenida a nuestros pacientes en un ambiente amigable y relajado y tratarlos utilizando nuestra experiencia basada en estándares médicos de vanguardia. Es importante para nosotros ofrecer un servicio personalizado, compasivo y atento.
La imagen de rayos X muestra a uno de nuestros pacientes (mujer, 40 años) con los siguientes hallazgos: estado posterior al tratamiento de implantación con elevación del piso sinusal en la mandíbula superior en 2013, inserción del implante con aumento lateral con un borde alveolar muy estrecho en 2015 , ahora exposición de los implantes 35, 36, 37 seguido de OPG postoperatorio.
Contáctenos para mayor información
Obtenga más información sobre los equipos de imagen de Dentsply Sirona y solicite información sobre imágenes intraorales, software o tecnología de imágenes 2D y 3D