La primera solución 3D para terapia de apnea obstructiva del sueño (OSA)
SICAT Air es la primera solución 3D para permitir no sólo el análisis de las vías respiratorias superiores sino también la visualización y planeación del tratamiento basado en el aparato de acuerdo con la anatomía. La combinación de los datos de superficie óptica y rayos X 3D del paciente, permiten un flujo de trabajo completamente digital
El análisis, planeación de tratamiento y orden del aparato SICAT OPTISLEEP puede realizarse en la sesión de un solo paciente.
Resumen de los beneficios
La primera solución 3D para terapia de apnea obstructiva del sueño
Visualización directa de las construcciones
Gracias a la segmentación automática de las vías respiratorias en 3D
Elevada aceptación del paciente
Herramientas integradas para la educación del paciente que aclaran la necesidad del tratamiento
TMJ incluido
Por primera vez, toma en cuenta las articulaciones mandibulares (con volúmenes de rayos X 3D correspondientes)
Integración con CEREC para un flujo de trabajo totalmente digital
Importe los datos de CEREC para un flujo de trabajo totalmente digital: no es necesario un modelo físico
Paso a paso: terapia de apnea obstructiva del sueño con SICAT Air
1. Escaner de rayos X
Los datos de rayos X 3D se registran ya sea con Galileos Comfort Plus u Orthophos SL 3D. El grado de protrusión puede ajustarse con facilidad con el tenedor de mordida como el George Gauge.
2. Registro de la superficie óptica
Registro de los datos CEREC de la mandíbula superior e inferior del paciente y fusión posterior con los datos 3D dentro del software.
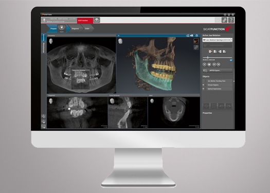
3. Visualización de constricciones
Con sólo dos clics, SICAT Air le permite la segmentación automática de la vía respiratoria superior. Todos los parámetros necesarios se muestran para cada vista seccional y facilitan el análisis de la vía respiratoria.
Las constricciones se remarcan con color y la via respiratoria puede examinarse de forma precisa gracias a la característica de endoscopía. La variedad de opciones y la información resumida automáticamente generada del paciente apoyan la consulta con sus pacientes.
4. Orden del aparato terapéutico SICAT Optisleep en línea
Ordene SICAT Optisleep con un solo clic y presente el aparato al paciente durante la segunda visita. SICAT Optisleep es un aparato de dos piezas que ofrece una gran comodidad debido a su diseño delgado. El material duradero y diseño conector es específicamente estable. SICAT Optisleep permite el sellado de los labios para estimular la respiración normal.
Los conectores intercambiables vienen en 10 tamaños para proporcionar una flexibilidad óptima para durabilidad máxima.
Resumen de CBCT de Dentsply Sirona
Dentsply Sirona ofrece tres modelos de unidades de rayos X 3D: Galileos Comfort Plus, Orthophos SL 3D y Orthophos XG 3D:
Galileos Comfort Plus
La unidad de rayos X 3D dedicada, con un volumen esférico de 15cm y escaneo facial opcional para mejorar la comunicación con el paciente
Todas las tecnologías revolucionarias en imagen 2D combinadas con una elección de 8 cm x 8 cm u 11 cm x 10 cm para imágenes 3D y el brazo ceph opcional.
Dentsply Sirona ha desarrollado una familia completa de soluciones de software para mejorar su diagnóstico y aumentar sus capacidades de planeación de tratamiento.
Obtenga más información sobre los equipos de imagen de Dentsply Sirona y solicite información sobre imágenes intraorales, software o tecnología de imágenes 2D y 3D