3D röntgen teknolojisi ile ne tür görüntülerin mümkün olduğunu ve DCS sensörünün neler yapabileceğini bilmek ister misiniz? Dentsply Sirona ürün yelpazesinin kalitesini birkaç vaka örneğiyle göstermek istiyoruz. Cihazlarımızın ürettiği röntgen görüntüleriyle bir dizi klinikten aldığımız örnekler derledik.
Hem kullanıcılar olarak biz, hem de hastalarımız Orthophos SL'nin kalitesinden son derece etkilendik. CEREC kullanıcıları olarak Orthophos SL'yi birkaç yıl beklemek zorunda kaldık. Ama beklemeye değdi ve kesinlikle bu cihazı premium segmentte hizmet vermeyi amaçlayan tüm kliniklere tavsiye ediyoruz.
Orthophos SL ile 2D Panorama röntgen: DCS Teknolojisi sayesinde Üstün Görüntü Kalitesi.
Joint dental practice
Dr. Ralph & Karen Bickel
Am Floßkanal 3
82515 Wolfratshausen, Almanya
Tel.: +49 (0) 8171 / 214910
Muayenehanemiz, özel bir klinik ambiyansı ve hizmeti sunmaktadır. Tedavilerimiz periodontoloji, implantoloji ve CEREC ile protez üzerine odaklanmıştır. Hem kullanıcılar olarak biz, hem de hastalarımız Orthophos SL'nin ve ürettiği 2D ve 3D görüntü kalitesinden son derece etkilendik. CEREC kullanıcıları olarak Orthophos SL'yi birkaç yıl beklemek zorunda kaldık. Beklemeye değdiğini söyleyebiliriz. Bu cihazı premium segmentte hizmet vermeyi amaçlayan tüm kliniklere tavsiye ediyoruz.
Röntgen görüntüsü, aşağıdaki bulgulara sahip bir hastayı (erkek, 59 yaşında) göstermektedir: 47, 36 Kapsamlı periapikal osteitis ve 14 apikal osteitis. 14-16 endodontik restorasyon, 22 aşırı dolu kök kanalı, 45 yetersiz kök dolgusu, 18 derin çürükler, 45 dikey ve yatay kemik kaybı. 1. Ameliyattan önce daha fazla açıklama yapabilmek için, Orthophos SL kullanarak 8x8 cm 3D görüntü ürettik.
Muayenehane
Drs. Hubrich, Kiewitt, Brandenstein
Bregenzer Str. 67
88131 Lindau, Almanya
Tel. +49 (0) 8382 / 280660
Konstanz Gölü, Lindau'daki modern muayenehanemizde, amaçladığımız tek bir şey var: Uzun vadeli dişlerin sağlığı ve estetiği sağlamak. Dişleri korumaya yönelik çok çeşitli terapötik hizmetler sunuyoruz.
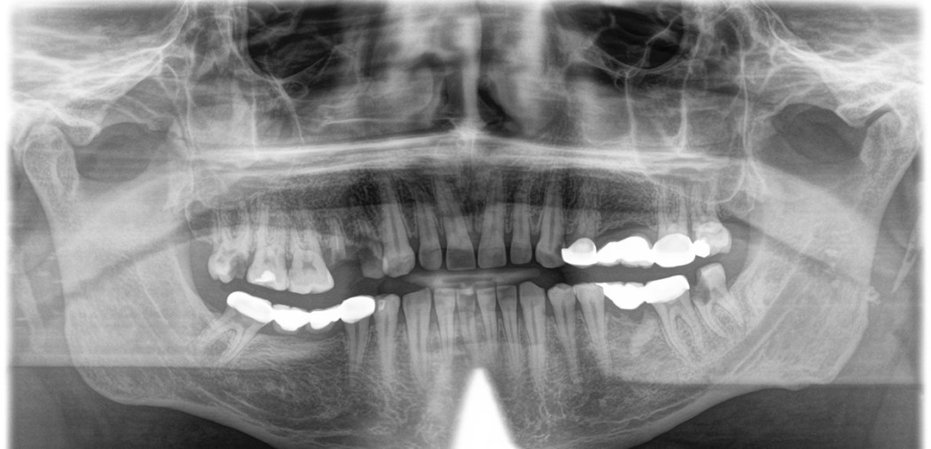
Röntgen görüntüsü, aşağıdaki bulgulara sahip bir hastayı (erkek, 45 yaşında) göstermektedir: Yaygın kronik periodontit.
Muayenehane
Ludger Busch
Bremer Str. 11
49377 Vechta, Almanya
Tel.: +49 (0) 4441 / 921424
Vechta'daki diş kliniğimizde tedavilerimizde estetik diş hekimliği ve implantolojiye odaklanıyoruz.
Röntgen görüntüsü, aşağıdaki bulgulara sahip bir hastayı (erkek, 32 yaşında) göstermektedir: 18d 15d 14d 23c, 36 kök pontic 38d altında, alio loco köprü oluşturdu. Alt orta görüntü alanında artefakta neden olan röntgen koruyucu giysiye rağmen, görüntünün kalitesi kusursuz ve teşhis için idealdi.
Muayenehane
Dr. Gerd Frahsek
Hüserstr. 7 a
42555 Velbert, Almanya
Tel.: +49 (0) 2052 / 80344 www.dr-frahsek.de
1989'dan beri Almanya'nın Velbert Langenberg bölgesinde bulunan Bonsfeld'de çalışıyoruz. Kliniğimizde diş ve ağız bakımı, profilaksi (önleme) ve modern tedavi yöntemlerine dayanmaktadır. Bunlar arasında, CEREC ve inLab yöntemlerini, 3D görüntülemeyi ve entegre implantolojiyi sayabiliriz.
Röntgen görüntüsü, aşağıdaki bulgulara sahip hastamızı (kadın, 18 yaşında) göstermektedir: Tedavi gerektiren dentisyon, 37 tahrip olmuş, apikal yarı saydamlık, 16 mesiyalde çürük, 18, 28, 48 gömülü.
Sağlıklı ve güzel dişler, her yaşta genel olarak esenlik ve yaşam kalitesinde önemli bir rol oynamaktadır. Bu nedenle hastalarımıza kapsamlı bir konsültasyon, yenilikçi tedavi yöntemleri ve en uygun diş bakımını içeren mümkün olan en iyi diş hizmetini sunmayı amaçlıyoruz. Kliniğimizde implantoloji, periodontoloji, CEREC/tamamen seramik restorasyonlar ve pediatrik diş hekimliği üzerine odaklanıyoruz.
Röntgen görüntüsü, aşağıdaki bulgulara sahip bir hastayı (erkek, 6 yaşında) göstermektedir: 12 ve 22'de diş rotasyonu ile tıkanmış erüpsiyon.
Diş Hekimi, Seepark Meuter and Wachter-Meuter
Reinhard Meuter
Sundgauallee 90
79110 Freiburg, Almanya
Tel.: +49 (0) 761 / 806860 www.praxis-wachter-meuter.de
Ortak kliniğimizin başlıca odak noktaları, 3/4 kuronlar, kuronlar ve köprülerle yapılan tüm seramik restorasyonların dijital olarak (CEREC) üretilmesidir. İmplantoloji ve periodontoloji, özellikle çıkarılabilir protezlere ihtiyacı kaldırmak amacıyla, çalışmamızın özünü oluşturmaktadır. 20 yıldır barece dijital röntgen cihazları ile çalışıyoruz, şu andaki modelimiz Orthophos SL.
Röntgen görüntüsü, aşağıdaki bulguları gösteren ve sol üst çenesinde yaygın ağrı olan bir hastayı (39 yaşında) göstermektedir: Mevcut sentetik dolguların altındaki derin, çürük defektleri, panoramik röntgende 27 ve 28 numaralı dişlerde görülebilir. 16 ve 47 numaralı dişlerdeki sentetik dolgu altındaki hipodens değişiklikler de çürüğün bir göstergesidir. Kök dolguları ve 15, 11, 22 ve 45 apikal bölgesi ile 11 ve 45'teki çeşitli pimler ve üst yapılar kolayca değerlendirilebilir. 11, 12, 22 ve 45'teki tam seramik restorasyonların yapışkan eklemleri de başarıyla görselleştirilmiştir. Düşey kemik kaybı 37 mesiyalde görülebilir.
Diş, Ağız Ve Çene Cerrahisi Ortak Kliniği
Dr. Franz-Georg Rademacher and Dr. Franz Rademacher
Kampstrasse 17
57462 Olpe, Almanya
Tel.: +49 (0) 2761 / 4555 www.zahnarzt-olpe.de
Birinci sınıf dişhekimliği hizmetleri ve en yeni tedavi teknikleri sunmaya odaklanıyoruz. Hastalarımızın ihtiyaçlarını gidermek ve modern diş hekimliği gereksinimlerini karşılamak için performansımızı sürekli izliyor ve düzenli olarak eğitim seminerine katılıyoruz. Tedavinin amacı sağlıklı, restore edilmiş dişlerdir. Güzel dişlere sahip gülümseyen bir hasta başarımızın bir göstergesidir.
Röntgen görüntüsü, aşağıdaki endikasyona sahip hastamızı (kadın, 22 yaşında) göstermektedir: Odak arama ‒ 8. Bulgular: OPG, çürüksüz, sağlıklı bir dentisyon gösteriyor. 18, 28, 38 ve 48 yirmilik dişler gömülü. Mandibular eklemler her iki tarafta eşit, maksiller sinüsler simetrik ve OPG'de görüldüğü kadarıyla normaldir. Patolojik yapı bulunamamıştır.
Yeni röntgen sistemimiz, son nesil yüksek çözünürlüklü DC (Doğrudan Dönüştürme) sensörleri ve yenilikçi Net Katman teknolojisi ile çalışarak, çözünürlükleri açısından, ağıziçi dental filmler ile aynı seviyede net ayrıntılara sahip taramalar yaratıyor. Düşük radyasyon dozuna rağmen, önceki görüntülerde görülmeyen durumlar şimdi açıkça görülebiiyor! Kliniğimizin ana odak noktası CMD tedavisi ve protezdir.
Röntgen görüntüsü, aşağıdaki bulgulara sahip bir hastayı (kadın, 28 yaşında) göstermektedir: 12 olası yanal kırık, apikektominin yetersiz iyileşmesi. 26, 27 üstünde çenenin sol tarafında açıkça belli yuvarlak gölgeler vardır.
İmplantoloji, Ağız Ve Çene Cerrahisi Kliniği
Dr. Dr. Anette Strunz
Bundesallee 56
10715 Berlin, Almanya
Tel.: +49 (0) 30 / 85757585 www.strunz.berlin
Tedavi konseptimiz diş implantlarından kemik büyütme, sinüs kaldırma ve cilt ameliyatlarından periodontoloji ve yirmi yaş dişlerine kadar uzanmaktadır. Hastalarımızı her zaman samimi ve rahat bir ortamda karşılamayı ve en güncel tıbbi standartlara dayanan uzmanlığımızı kullanarak tedavi etmeyi amaçlıyoruz. Hastalarımıza kişiselleştirilmiş, nazik ve özenli hizmet sunmak bizim için önemlidir.
Röntgen görüntüsü, aşağıdaki bulgulara sahip bir hastayı (kadın, 40 yaşında) göstermektedir: 2013'te üst çenede sinüs tabanının yükselmesiyle birlikte implantasyon sonrası tedavi durumu, 2015'te çok dar alveol kenarlı lateral büyütme ile implant yerleştirme, şimdi OPG ameliyat sonrası 35, 36, 37 implantlar.
Daha fazla bilgi için bize ulaşın
Dentsply Sirona görüntüleme sistemleri hakkında daha fazla bilgi edinin ve ağız içi görüntüleme, yazılım veya 2D ve 3D görüntüleme teknolojisi ile çalışan ürünlerle ilgili bilgi isteyin.