Başarılı Orthophos ailesinin bir üyesi olan bu çözüm, gelişmiş bir teşhis için çığır açan DCS görüntü kalitesi sunar. Sefalometri ve 3D yükseltme seçenekleri sayesinde, geleceğe hazırsınız.
En son teknolojiyi anlayanlar ve sadece daha fazlasını isteyenler için yüksek kaliteli 2D cihaz. Entegre Doğrudan Dönüştürme Sensörü (DCS), panoramik görüntüleme standardını tamamen yeniden tanımlayarak benzersiz keskinlik sunar. Sharp Layer, yani Net Katman teknolojisi, zor vakalarda bile otomatik odaklı panoramik görüntüler sağlar. Orthophos SL, otomatik konumlandırma ve EasyPad ile sezgisel kullanım sayesinde maksimum kullanım kolaylığının yanı sıra, özel bir görünüm ve his için ayrı ayrı ayarlanabilen bir ortam ışığı sunar.
Avantajlara Genel Bakış
Orthophos SL 2D ile en iyi 2D görüntü kalitesini seçersiniz ve istediğiniz zaman 3D'ye geçmeye hazır olursunuz.
Olağanüstü görüntüler
En iyi görüntü kalitesi için benzersiz DCS sensörü
Nesnelere odaklanma
Keskin Katman teknolojisi, farklı seviyelerde güvenilir keskinlikte görüntü sağlar.
Optimum konumlandırılmış görüntüler ve tekrarlanabilirlik
Oklüzal ısırma bloğu ve sezgisel EasyPad ile otomatik konumlandırma stabilite sağlar
Kapsamlı panoramik ve sefalometrik programlar
Bitewing (ısırtma), sinüs veya Sefalometri görüntüleri için, sol veya sağ sefalometri kolları opsiyonel olarak herhangi bir zamanda uyarlanabilir
Güvenli ve etkisi kanıtlanmış hasta konumlama
Motorlu şakak ve alın desteği, otomatik şakak genişliği ölçümü, ışık tutucular ve sağlam tutma kolları ile
Hoş bir atmosfer
30'dan farklı renk seçeneği ile ortam ışığı
Doğrudan Dönüştürme Sensörü (DCS), optimum röntgen radyasyonu verimi sağlar." Görüntüler çok hassas olacaktır ve radyasyon dozunu azaltmak mümkündür.
Orthophos SL 2 D- Avantajlar
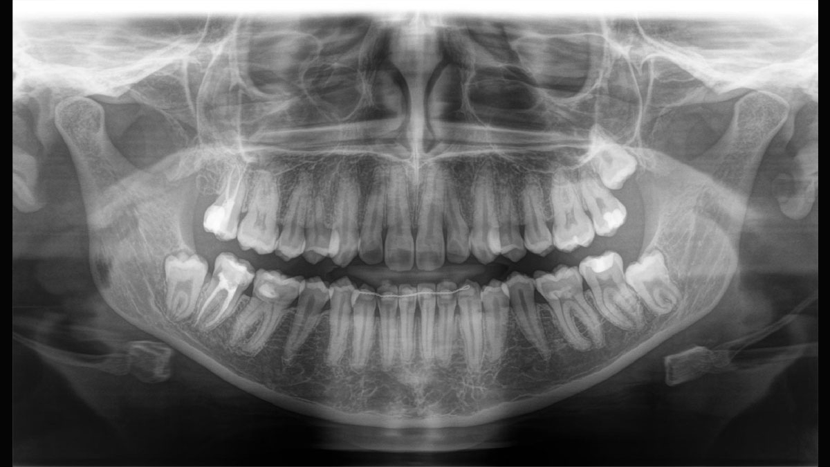
Örnek 2D Panoramik Görüntü Galerisi
Program P1
Program P1
Program P1
Bitewing (Isırtma)
Bitewing
Bitewing (Isırtma)
Genç hastalar için özel programlar
Yatay ve dikey olarak indirgenmiş çocuk panoramik programı
en düşük dozda yüksek çözünürlüklü görüntüler sunar
Hızlı çekim özelliği
Çekim süresini ve dozajını azaltır. Örneğin panoramik ve sefalometrik görüntülerde çocuklarla çalışmayı kolaylaştırır
Doğrudan Dönüştürme Sensörü (DCS), panoramik görüntüleme standardını yeniden tanımlıyor. Röntgenler doğrudan elektrik sinyallerine dönüştürülür - geleneksel sistemlerin aksine, ışık dönüşümü nedeniyle sinyal kaybı olmaz. Bu da, daha iyi bir görüntü bilgisi çıktısı anlamına gelir. Sonuç, son derece düşük bir dozda bile benzersiz derecede yüksek netlik seviyesine sahip görüntülerdir.
DCS: bir karşılaştırma
Resimde DCS teknolojisi ile ve DCS'siz röntgen görüntüleri gösterilmektedir. İmleci resmin üzerine getirin ve DCS sensörünün resim kalitesinde yarattığı farkı görün.
Ortam ışığı
30'dan fazla renk seçeneğiyle, Orthophos SL 3D Ortam Işığı hastalarınız için hoş bir atmosfer yaratır ve modern klinik atmosferinize mükemmel uyum sağlar.
Sefalometrik Görüntüleme
Orthophos SL 2D ürünlerine istediğiniz zaman bir sefalometrik kol takılabilir. Röntgen odanıza sığdığından emin olmanız için, kol ünitenin sağ veya sol tarafına monte edilebilir.
Tüm ortodontik ihtiyaçlarınızı karşılayan sefalometrik programlar
Özel bir sensör yardımıyla, lateral ve simetrik p.a. veya a.p. ve ayrıca karpus (el bileği) görüntüleri alabilirsiniz. Yerinden çıkmış dişler için, tam konumlarını belirlemek üzere 3D röntgenleri de kullanabilirsiniz.
Örnek sefalometrik görüntü galerisi
Otomatik odaklanma- Tamamen otomatik üstün görüntü kalitesi
Yüksek düzeyde netlik elde etmek için doğru odaklanma şarttır. Çene, cihazın net görüntü katmanında olmalıdır. Bunun için Orthophos SL 2D, bir dönüşte birkaç bin ayrı görüntü oluşturur ve çenenin en uygun şekilde konumlandırıldığı alanları otomatik olarak tanır. Bunlar, manuel ara adımlar olmadan, genel bir görüntüde gösterilir.
Otomatik netlemenin (otofocus) sonuçlarına göre, keskin bir görüntü otomatik olarak hesaplanır.
Sonuç: Maksimum keskinlikte görüntüler.
Tüm 2D programlara genel bakış
Program
Orthophos SL 2D
Orthophos S 2D
Orthophos E
Standart panaroma görüntüsü
P1, P2, P10
P1, P2, P10
P1, P10
Sağ ve sol görüntü detayı
P1, P1A, P1C P2, P2A, P2CP10, P10A, P10C BW1
P1, P1A, P1C P2, P2A, P2CP10, P10A, P10C BW1
P1L, P1R
Tekil kadranlarda görüntü detayı
P1, P1A, P1C P2, P2A, P2CP10, P10A, P10C
P1, P1A, P1C P2, P2A, P2CP10, P10A, P10C
-
Üst veya alt çene görüntü detayı
P1, P1A, P1C P2, P2A, P2CP10, P10A, P10C, P12
P1, P1A, P1C P2, P2A, P2CP10, P10A, P10C, P12
-
Sabit büyütme
P1C, P2C, P10C
P1C, P2C, P10C
P1C
Artifakt azaltmalı
P1A, P2A, P10A
P1A, P2A, P10A
P1A
Kalın tabaka ön
P12
P12
P12
Sinuzoidal görüntüler
S1, S3
S1, S3
S1
Arka dişte çok kesitli
-
-
MS1
Mandibular eklem
TM1.1, TM1.2, TM3
TM1.1, TM1.2, TM3
TM1.1, TM1.2
Bitewing görüntüsü
BW1, BW2
BW1, BW2
BW1
Sefalometrik kol (isteğe bağlı)
C1, C2, C3, C3F, C4
C1, C2, C3, C3F, C4
C1, C2, C3, C3F, C4
S.S.S
Gereksinimler, Sidexis 4 görüntü işleme yazılımı gereksinimleri ile aynıdır. Ayrıntılara buradan ulaşabilirsiniz: Sidexis 4 sistem gereksinimleri.
Evet, Orthophos sadece Sidexis 4 ile çalışmaktadır. Üstelik, Sidexis XG'ten Sidexis 4'e veri aktarımı çok kolaydır.
Orthophos SL 2D ready ve Orthophos SL 2D'de, 3D yükseltmesi yapılabilir. Orthophos E'de bu seçenek yoktur.
Orthophos Ailesi
3D, 2D ve hibrit ürün gamımız ile ilgili daha fazla bilgiye ulaşın ve Orthophos ailesi broşürünü indirin.
Dentsply Sirona görüntüleme sistemleri hakkında daha fazla bilgi edinin ve ağız içi görüntüleme, yazılım veya 2D ve 3D görüntüleme teknolojisi ile çalışan ürünlerle ilgili bilgi isteyin.