Üstün estetik sonuçlara kolayca ulaşın
Yeni ceram·x universal, anterior ve posterior bölgede, tüm kavite sınıflarına yönelik bir universal kompozittir. Belirgin bukalemun etkisi sayesinde, hassas ve güvenilir bir ton eşleşmesi ve dolayısıyla tek bir saydamlıkta son derece estetik restorasyon sonuçları sunar.
Anterior restorasyon


Sol resim: Öncesi
Sağ resim: 32'den 43'e kadar ceram·x universal A3 ile restorasyon sonrası.
Ian Cline, İngiltere
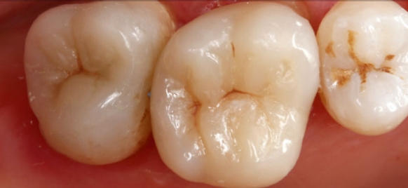
Posterior restorasyon


Sol resim: Öncesi - Oklüzyonlu çürük lezyonu bulunan 36 numaralı diş.
Sağ resim: Sonrası - Dişe kaybettiği anatomiyi ve doğal estetik görünümü geri kazandıran ceram·x universal A2 ile restorasyon.
José Bahillo, İspanya
Yüklemeler
ceramx-SphereTEC-one-brochure 2 MB
Brochure / English Language
ceramx-SphereTEC-one-DFU_EN-FR-RU-AE-PL-CZ-SI-HU-TR
Directions for Use / Languages: English, French, Russian, Arabian, Polish, Czech, Slovenian, Hungaria, Turkey
ceramx-SphereTEC-one-ITG
Illustrated Technique Guide
ceram.x SphereTEC one hakkında daha fazla bilgi almak ister misiniz?
Lütfen sizinle temas kurabilmemiz için iletişim bilgilerinizi paylaşın.