
Gerçek hepsi bir arada görüntüleme ünitesi
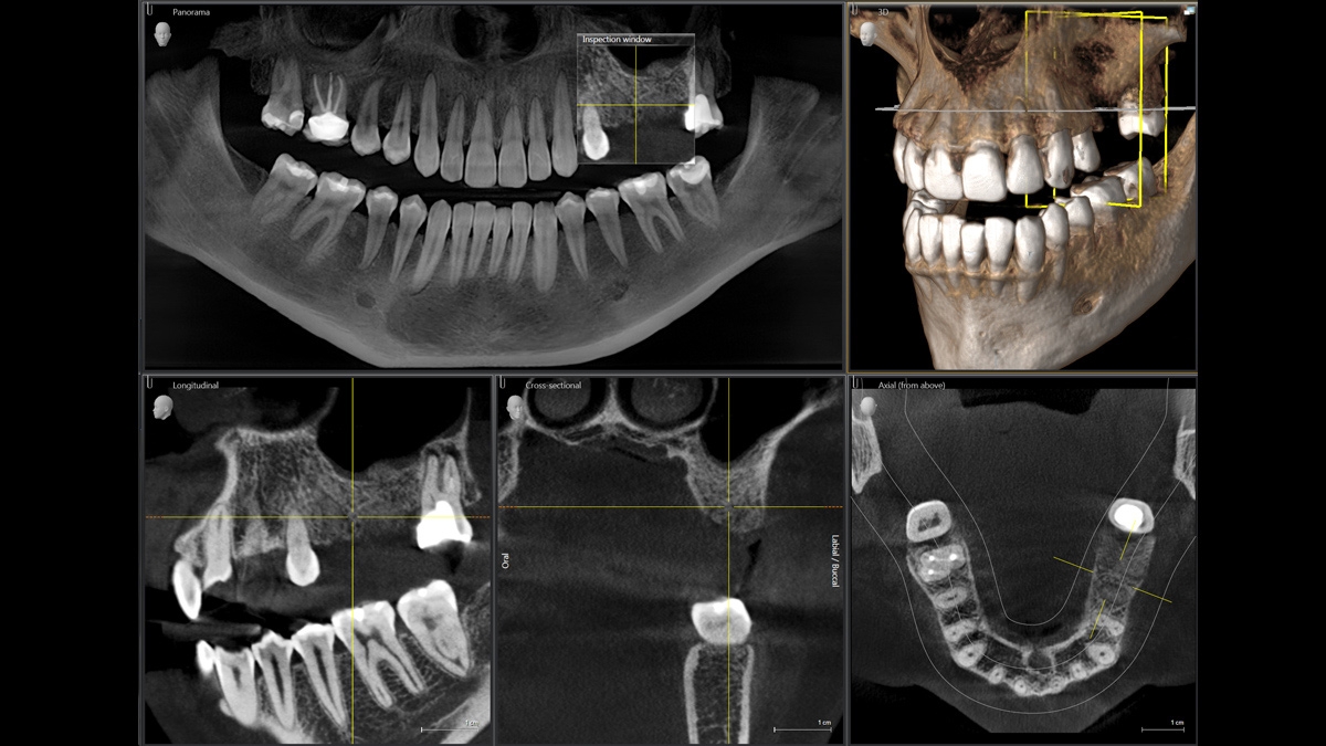
Orthophos SL ile, uygulamanız çeşitli tedavi durumları için son derece iyi hazırlanmıştır. 2D tarafında, çığır açan DCS sensörü ve SL teknolojisi, panoramik görüntüleme açısından çok yüksek talepleri olan kullanıcıların gereksinimlerini karşılar. 3D'de, 8 cm x 8 cm veya 11 cm x 10 cm ses birimi arasında (şimdi veya ilerde) karar bir verebilirsiniz. Her iki ünite de çeşitli kolimasyonlar (hizalamalar) sunar.
Öncü Sidexis 4 görüntüleme yazılımına sahip Orthophos SL çeşitli yenilikçi tedavi çözümlerine erişmenizi sağlayacaktır. Orthophos SL 3D'ye, istediğiniz zaman bir sefalometrik kol eklenebilir.
Hastalarınız, röntgen odanızda kliniğinize uyan hoş bir atmosfer için 30'dan fazla renk seçeneği sunan rahatlatıcı ortam ışığı Ambient Light'ı sevecektir.