Техника внесения SDR® - просто, быстро и эффективно
SDR® Техника наполнения
Экономия времени размещения до 40% по сравнению с традиционной техникой.
Техника внесения SDR®
Оранжевая линия = Адгезивная подготовка
SDR®
Перекрывающий слой: универсальный композит
Традиционная техника
Оранжевая линия = Адгезивная подготовка
Жидкотекучий прокладочный материал
Первый слой: универсальный композит
Второй слой: универсальный композит
Третий слой: универсальный композит
Свойство самовыравнивания и превосходная адаптация в полости
Текучая консистенция SDR® обеспечивает превосходную самоадаптацию в полости.
Полимеризационный стресс до 60% ниже
Уникальный и запатентованный SDR® - ключ к контролируемой полимеризации. Для помощи мономерам в формировании более "расслабленной" сети в состав был включен модулятор. Это позволяет компенсировать эффект уменьшения объема при полимеризации и приводит к уменьшению полимеризационного напряжения. Поэтому SDR® можно вносить порциями толщиной до 4 мм, избегая трудоемкой и более длительной техники послойного внесения.
Самовыравнивающаяся консистенция для отличной адаптации полости
Внутренние данные доступны по запросу.
Идеальный реставрационный материал ...
…для использования в качестве прокладочного материала и метода bulk-fill в полостях I и II класса
Внесение слоем до 4 мм
Идеальная адаптация к полости
Не требуется традиционный прокладочный материал - простая процедура
…для пост-эндодонтического восстановления
Отличная адгези к дентину в полостях с высоким C-фактором
Не зафиксированно неудач предварительного этапа тестирования материала во время исследования
Надежная адгезия
“Для сокращения риска дебондинга при объемном внесении материала в полость с высоким С-фактором особенно важным фактором становится обоснованный выбор композитного материала.“3
“Прочность сцепления на микроотрыв при заполнении 4 мм полости объемным слоем значительно снижалась, однако материал SDR® стабильно сохранял силу бондинга.“4
Van Ende / Van Meerbeek BIOMAT, KU Leuven (University of Leuven)
Рисунок: процент неудач предварительного этапа тестирования материала на адгезию к стенкам полости4
3 Bulk-Filling of high C-Factor posterior cavities: Effect on adhesion to cavity-bottom dentin (Van Ende et al. Dental Materials 29 (2013): 269-277) 4 Van Ende A et al., 2016: Effect of Bulk-filling on the Bonding Efficacy in Occlusal Class I Cavities. J Adhes Dent.;18(2):119-24
Рисунок: Относительное число [%] случаев, проявивших утечку в систему корневых каналов5
5 Внутренние данные доступны по запросу.
“SDR® обеспечивает плотное запечатыване в полости эндодонтического доступа, что является важным фактором для долгосрочного успеха.”
Профессор Шмиррместер, Университет Фрайбурга, Германия
После обтурации гуттаперчей.
Фото: Dr. Holzmeier
Идеальное самовыравние материала SDR®.
Фото: Dr. Holzmeier
Конечный результат с использование нано-керамического композита Ceram·X duo+ в качестве перекрывающего материла.
Фото: Dr. Holzmeier
…для реставрации молочных зубов
Просто, быстро и надежно.
Вносится слоем до окклюзионной поверхности, не требуется перекрывающий слой
Универсальный полупрозрачный оттенок хорошо сочетается с молочным прикусом
Быстрая и легкая техника внесения, идеально подходит для детей
6 Clinical evaluation of restorative materials for primary teeth (Jasiński P, Sobiech P, Korporowicz E, Gozdowski D, Olczak-Kowalczyk D, European Academy of Pediatric Dentistry, Strasbourg, 2012, OPD 185)
“SDR® экономит время пациента - огромное преимущество, особенно когда дело доходит до лечения детей.”
Д-р Вики Элерс, Майнцский Университет, Германия
SDR® Молочный зуб спустя 2 года после реставрации (75 зуб).
Д-р. V. Ehlers
SDR® Молочный зуб спустя 1,5 года после реставрации (65 зуб).
Д-р. V. Ehlers
…для герметизации фиссур и надстройки культи
Легко заполняет фиссуры
Точное внесение благодаря тонкому носику компьюлы
Собственность Dentsply Sirona.
Быстрая процедура
4 мм одной порцией
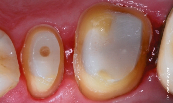
Фото: Д-р. van der Vyver
Фото: Д-р. van der Vyver
Несколько лет клинического успеха
Результаты 5-летних клинических испытаний
JWV van Dijken и U. Pallesen11
“Результаты исследования выявили, что bulk-fill техника одномоментного внесения материала слоем 4 мм более долговечная и надежная по сравнению с традиционной техникой внесения 2 мм, при небольшом статистическом перевесе.”12
JWV van Dijken и U. Pallesen11
В исследовании сравнивались 100 реставраций по классу I и II проведенных с SDR® и Ceram - X в технике bulk-fill с таким же количеством работ, выполненных в традиционной технике, с использованием Ceram - X в качестве перекрывающего композита.11
Результаты11:
Обе предоставленные техники показали надежный результат, качественное краевое прилегание и отсутствие изменение цвета реставраций
Процент неудач не является статистически значимым для обеих техник
Отсутствие постоперационной чувствительности для обеих техник
11 внутренний отчет # 14.1488 (2016-11-07);
12 van Dijken JWV, Pallesen U, 2016: Posterior bulk-filled resin composite restorations: A 5-year
Результаты трёх лет клинических исследований
J. Burgess и C. Munoz13
“Не было зафиксированно никаких наблюдений рецедивного кариеса связанного с низким уровнем стресса смолы и никаких сообщений о жалобах во время исследования.”12
Ни одного выпадения реставрации в связи с применением SDR®
Отсутствие постоперационной чувствительности
Отсутствие неблагоприятного воздействия на десну в зоне контакта с SDR®
J.W.V. van Dijken и U. Pallesen14
“В течение трех лет исследования, bulk-fill техника с применением SDR® показала высокую клиническую эффективность, статистически сопоставимую с традиционной техникой.”14
Рандомизированное исследование органов ротовой полости типа "split-mouth"
Были установлены реставраций 38 пар реставраций по классу II и 15 пар по классу I
Xeno V/Ceram·X с применением SDR® и без него
Стабильно высокий результат для обеих групп
Не обнаруженно качественных различий между двумя техниками
14 Произвольно контролируемая трехлетняя оценка «bulk-fill» реставраций на основе технологии снижения напряжения (van Dijken JWV, Pallesen U, Dent Mater 2014; 30(9):e245-51.
Используйте SDR® вместе с матричной системой Palodent® V3 и нано-керамическим материалом сeram.x SphereTEC® one
“Комбинация матричной системы Palodent® V3 и материала SDR® обеспечивает простую, быструю и надежную реставрацию по классу II. Врядли вы найдете способ лучше.” Д-р. Рейс, Университет Гуарульюс, Бразилия